第一步:拆解医学术语
我们可以把这个诊断分成四个部分来理解:

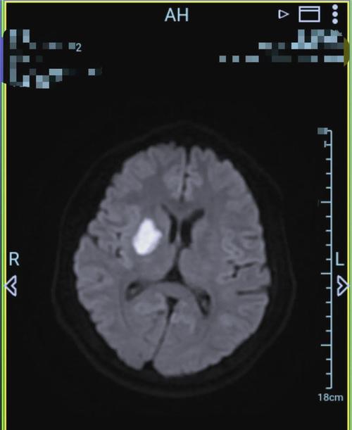
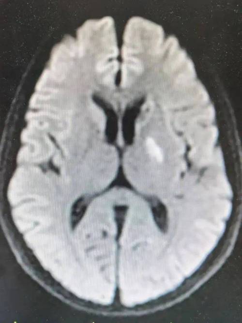
(图片来源网络,侵删)
-
卢脑
- 含义:这是一个非常正式、书面化的说法,通常出现在影像学报告的描述部分,指的是患者的大脑,在口语或日常交流中,医生可能会直接说“脑”。
- 简单理解:大脑”。
-
右侧
- 含义:指病变发生在大脑的右侧半球。
- 简单理解:病灶在右边。
-
基底节区
- 含义:这是大脑深部的一个非常重要的结构区域,不是一个单一的点,而是一个功能复杂的“集合体”,它包含了基底核等结构,是大脑运动、认知、情感等功能的关键中转站,基底节区接收来自大脑皮层(高级思维中枢)的信号,并进行处理,然后再发出指令,控制身体的运动协调、习惯性行为、眼球运动等。
- 简单理解:大脑深部的一个“控制中心”或“交通枢纽”。
-
腔梗
(图片来源网络,侵删)- 含义:这是“腔隙性脑梗死”的简称,这是一种缺血性脑卒中(也就是我们常说的“中风”或“脑梗塞”)的一种特殊类型。
- 形成原因:它不是大血管堵塞,而是由大脑深部穿通动脉的微小分支(直径通常小于2毫米)发生闭塞引起的,由于这些血管非常细小,堵塞后影响的脑组织范围也很小,会形成一个小的、空腔样的软化灶,所以被称为“腔隙性”梗死。
- 简单理解:就像一根非常细小的水管堵了,导致一小块区域“缺水”,形成了一个小疤痕。
第二步:综合理解“右侧基底节区腔梗”
把以上四部分合在一起,“卢脑右侧基底节区腔梗”的完整意思是:
患者大脑右侧的基底节区域,发生了一个微小的血管堵塞,导致该区域的一小块脑组织缺血、坏死,形成了一个小软化灶(腔隙性梗死)。
第三步:这意味着什么?(影响和症状)
腔梗的症状主要取决于病灶具体位置和大小,由于病灶非常小,很多时候可能没有引起任何明显的症状,这种情况称为“无症状性腔梗”,通常是在做其他检查时偶然发现的。
如果出现了症状,通常比较轻微,可能包括:
-
运动功能障碍(最常见):
- 右侧基底节区梗塞,可能会影响左侧的身体。
- 左侧肢体轻度无力、动作不灵活、走路拖步、拿东西不稳。
- 严重时可能出现面瘫(左侧口角歪斜)、舌瘫(伸舌偏向左侧)。
-
感觉异常:
左侧肢体出现麻木、针刺感、感觉减退等。
-
言语障碍:
如果病灶影响了与语言相关的区域,可能出现说话含糊不清、找词困难等。
-
其他可能症状:
- 头晕、平衡感差、走路不稳。
- 反应变慢、记忆力轻度下降。
- 情绪改变,如淡漠、抑郁、易哭或易怒。
重要提示:右侧基底节区的腔梗,如果引起症状,主要影响的是身体的左侧,因为大脑对身体的控制是“交叉”的,即左脑控制右身,右脑控制左身。
第四步:为什么会发生?(病因和危险因素)
腔梗的发生不是偶然的,通常是多种危险因素长期作用的结果,它是一个“警报”,提示您的脑血管健康出现了问题,常见原因包括:
- 高血压:这是最重要、最常见的原因,长期高血压会不断冲击和损伤微小血管的血管壁,使其变得脆弱、狭窄,最终容易堵塞。
- 糖尿病:高血糖会损害血管内皮,加速动脉粥样硬化。
- 高脂血症:特别是高胆固醇,会加速血管壁上斑块的形成。
- 吸烟和酗酒:烟草中的尼古丁和酒精都会损伤血管,增加血液粘稠度。
- 年龄增长:血管会自然老化。
- 心脏病:如房颤等心律不齐,可能导致血栓脱落,堵塞小血管。
第五步:应该怎么办?(治疗和管理)
发现腔梗后,关键在于积极处理和预防复发,这通常分为两个层面:
医学治疗(遵从医嘱)
- 急性期治疗:如果刚刚发病且伴有症状,医生可能会给予一些改善循环、营养神经的药物。
- 长期二级预防:这是管理的核心,目的是防止再次发生脑梗,通常包括:
- 抗血小板治疗:最常用的是阿司匹林或氯吡格雷,它们可以抑制血小板聚集,防止血栓形成,请务必在医生指导下服用,不可自行停药或换药。
- 控制危险因素:
- 降压:严格控制血压,通常目标值在140/90 mmHg以下,具体目标请咨询医生。
- 降糖:严格控制血糖。
- 调脂:使用他汀类药物(如阿托伐他汀、瑞舒伐他汀)降低胆固醇,稳定斑块。
生活方式干预(自己能做的)
这是预防复发最基础、也是最重要的一环。
- 健康饮食:
- 低盐:每天食盐摄入量控制在5克以内。
- 低脂:少吃动物脂肪、油炸食品。
- 低糖:减少甜食和含糖饮料的摄入。
- 多吃蔬菜、水果、全谷物、优质蛋白(如鱼、豆制品)。
- 规律运动:
每周至少进行150分钟的中等强度有氧运动,如快走、慢跑、游泳、骑自行车等。
- 戒烟限酒:
- 必须彻底戒烟。
- 严格限制饮酒,最好不喝。
- 控制体重:
保持健康的体重(BMI在18.5-23.9之间)。
- 保持良好心态:
避免情绪激动和过度劳累,保证充足睡眠。
- 定期复查:
- 定期监测血压、血糖、血脂。
- 按照医生的建议,定期复查头颅CT或MRI,观察病灶变化。
“右侧基底节区腔梗”是一个需要重视的健康信号,但它本身并不可怕,它意味着您需要开始认真对待自己的血管健康了。
关键行动点:
- 找神经内科医生:进行专业的评估和诊断,制定个性化的治疗方案。
- 明确病因:重点排查并控制高血压、糖尿病、高血脂等基础病。
- 坚持服药:特别是抗血小板和他汀类药物,长期规律服用。
- 改变生活方式:这是所有治疗的基础,效果不亚于药物。
- 保持乐观:绝大多数腔梗患者预后良好,通过科学的管理可以正常生活和工作,并有效预防复发。
请务必将这份报告带给医生,进行详细的咨询和后续管理,祝您健康!
