我会用通俗易懂的方式,从以下几个方面为您拆解:

(图片来源网络,侵删)
- 基本概念拆解:每个词是什么意思?
- 为什么会发生?:背后的病理生理机制。
- 意味着什么?:临床上的严重性。
- 怎么办?:可能的紧急处理措施。
基本概念拆解
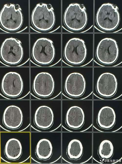
我们可以把这个描述拆成三个部分来理解:
A. 脑梗 (Cerebral Infarction / Stroke)
- 通俗理解:就是我们常说的“中风”的一种,特指缺血性中风,可以把它想象成大脑的某部分区域因为“断粮”而坏死了。
- 医学原理:大脑的细胞需要持续的血液供应来获取氧气和葡萄糖,供应大脑血液的血管(动脉)被堵塞了,导致下游的脑组织缺血、缺氧,最终导致脑细胞死亡和功能丧失,堵塞的原因通常是血栓或栓子。
B. 中线结构 (Midline Structures)
- 通俗理解:想象一下我们的大脑,有一个“中央分割线”,把大脑分成了左、右两半,这条“线”以及它周围的一些关键结构,就叫做“中线结构”。
- 医学结构:这包括大脑镰(像一块帘子,分隔左右大脑半球)、第三脑室、松果体等,这些结构位于大脑的正中央,左右两侧的压力应该是对称的。
C. 左侧移位 (Shifted to the Left)
- 通俗理解:原本在正中央的“中线结构”,现在被推向了左边。
- 深层含义:这说明右侧大脑的压力,比左侧大脑的压力要大得多,就像一个气球,如果一边被用力挤压,中间的隔膜就会被推向另一侧。
为什么会发生中线结构移位?
这背后是一个恶性循环,医学上称为颅内压增高。
- 梗死灶形成:右侧大脑的某条动脉被堵死了,导致一大片脑组织缺血坏死(这就是梗死灶)。
- 脑水肿:坏死的脑组织会像一块泡水的海绵一样,迅速肿胀起来,这种肿胀会占据大量的空间。
- 空间被占,压力剧增:我们的颅骨是一个坚硬、封闭的“盒子”,容积是固定的,梗死灶和周围严重水肿的脑组织,就像在盒子里塞进了一个不断膨胀的气球,导致整个右侧大脑的压力急剧升高。
- 中线被挤压:右侧巨大的压力,像推土机一样,把位于正中央的“中线结构”(大脑镰等)硬生生地推向了压力较小的左侧。
- 恶性循环:中线移位本身又会压迫左侧正常的脑组织,可能导致左侧也出现缺血和水肿,使病情进一步恶化。
这意味着什么?—— 严重性解读
“中线结构移位”是一个非常危险的信号,它直接表明:
- 大面积脑梗死:通常只有梗死范围非常大,才会引起如此严重的脑水肿和颅内压增高。
- 严重的颅内压增高:这是最核心的问题,高压会压迫整个大脑,特别是对生命中枢构成威胁。
- 脑疝风险(最危险的并发症):
- 什么是脑疝?:当一侧大脑的压力过高时,部分脑组织会被“挤”到颅骨的天然孔道或缝隙中,就像从门缝里挤出去一样,这会压迫负责心跳、呼吸的脑干(生命中枢),是致命性的急症。
- 常见类型:如果中线向左移位,最容易发生的是颞叶钩回疝(Uncal Herniation),即颞叶的海马钩回部分被挤入小脑幕裂孔,压迫动眼神经和脑干。
这个描述意味着患者的大脑正在经历一场“空间危机”,生命垂危,需要立即进行抢救。

(图片来源网络,侵删)
怎么办?—— 可能的紧急处理措施
一旦影像学检查(通常是CT或MRI)发现“中线结构移位”,神经外科和神经内科医生会立刻采取一系列紧急措施,目标只有一个:降低颅内压,挽救生命。
-
立即降颅压治疗(最紧急):
- 高渗脱水剂:快速静脉注射甘露醇或高渗盐水,它们像海绵一样,将脑组织中的水分“吸”到血管里,然后通过肾脏排出,从而快速减轻脑水肿和颅内压。
- 利尿剂:如呋塞米,通过增加排尿来减少全身总水量,间接降低颅内压。
-
呼吸支持:
- 患者可能会因为脑干受压而出现呼吸不规则或衰竭,需要立即进行气管插管,用呼吸机辅助呼吸,保证大脑的氧气供应。
-
生命体征监护:
(图片来源网络,侵删)严密监测血压、心率、血氧饱和度等生命体征,维持生命体征稳定。
-
病因治疗与再灌注治疗(如果时间窗允许):
- 静脉溶栓:如果发病在4.5小时(部分患者可延长)以内,且没有禁忌症,会考虑使用阿替普酶等药物溶解血栓。
- 机械取栓:如果发病在24小时以内,通过介入手术将堵塞血管的血栓直接取出来,这是目前最有效的开通血管的方法,尤其适用于大血管闭塞,但前提是患者的身体状况能耐受手术,且取栓的获益大于风险。
-
外科手术(去骨瓣减压术):
- 对于药物无法控制的、极其严重的颅内高压,这是最后的救命手段。
- 手术方法:在患者头部开一个较大的“窗”,去掉一块颅骨,这样做等于“打开了天窗”,为肿胀的大脑提供了额外的空间,让大脑有地方“膨胀”,从而极大地降低颅内压,防止致命的脑疝发生。
- 代价:手术后,患者头部会有一块缺损(通常几个月后再用人工材料修补),并且可能会有长期的神经功能后遗症,但这是在生死关头保住生命的必要牺牲。
给家属的重要提醒
如果看到诊断报告上有“脑梗中线结构左侧移位”,请务必保持冷静,但也要认识到病情的极端危重性。
- 立即遵从医嘱:医生会根据患者的具体情况(年龄、梗死部位、时间窗等)做出最迅速的判断和决策。
- 做好心理准备:这是一个非常严峻的挑战,治疗过程会非常复杂,预后往往不佳,可能会留下严重的后遗症,甚至危及生命,与医生进行充分沟通,了解所有可能的方案和风险。
- 积极配合治疗:无论是药物治疗还是手术,都需要家属的信任和全力配合。
希望这个解释能帮助您更好地理解这个医学术语的含义和其背后所代表的严重性。
