这是一个非常重要且常见的问题,答案是:可以,但有严格的时间窗限制,并且需要选择正确的MRI序列。

(图片来源网络,侵删)
下面为您详细解释:
常规的CT检查在发病6小时内,对早期脑梗死的检出率很低(可能低于20%),而特定的磁共振检查(特别是DWI序列)在发病数分钟到数小时内,就能非常敏感地发现脑梗死的早期迹象,检出率可高达90%以上。
对于怀疑急性脑梗死的患者,MRI是比CT更早期、更敏感的检查手段。
为什么早期脑梗在CT上不易发现,而在MRI上容易发现?
这涉及到脑梗死不同时期的病理生理变化,以及不同影像学技术的成像原理。

(图片来源网络,侵删)
脑梗死的演变过程
- 超早期(数分钟~2小时): 脑细胞缺血缺氧,但细胞结构尚未完全破坏,主要是细胞内的能量代谢障碍,导致细胞毒性水肿,细胞体积开始增大,但整个脑组织的总体积变化不大。
- 早期(2~6小时): 细胞毒性水肿加重,导致血管内皮细胞损伤,血脑屏障开始破坏,血管源性水肿开始出现,脑组织开始出现肉眼可见的肿胀。
- 中期(6~24小时): 水肿达到高峰,脑组织出现明显的坏死,在CT上开始可能显示出低密度灶。
不同影像技术的表现
-
头颅CT (非增强)
- 原理: 依靠X射线,通过检测不同组织对X射线的吸收差异(密度差异)来成像,正常脑组织和缺血脑组织在早期密度差异极小。
- 早期表现: 在发病6小时内,绝大多数脑梗死在CT上完全正常,或者只有一些非常细微、不易察觉的间接征象(如脑沟变浅、脑回模糊),这些征象需要经验丰富的放射科医生才能识别,且特异性不高。
- 何时能看清: 通常在发病6-12小时后,缺血区域的脑细胞开始坏死,水分增多,密度才会明显降低,呈现出低密度灶,24小时后,CT显示会非常清晰。
-
磁共振成像
- 原理: 利用强磁场和射频脉冲,探测人体内水分子中氢质子的运动情况,对水分子的变化极其敏感。
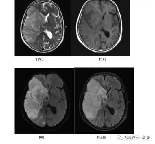
- 关键序列:弥散加权成像
- 这是发现早期脑梗死的“王牌”序列!
- 原理: DWI主要探测的是水分子的布朗运动,在急性脑梗死早期,细胞毒性水肿导致细胞内水分子增多,且这些水分子被限制在缩小的细胞空间内,运动受到限制(即“水分子扩散受限”)。
- 表现: 在DWI图像上,这种“水分子扩散受限”的区域会显示为明显的高信号(亮白色),这个改变在脑缺血发生后的几分钟内就可能开始出现,并且在发病后30分钟到1小时内,诊断的敏感性和特异性就非常高了。
- 其他重要序列:
- 表观弥散系数: 与DWI配对使用,可以帮助确认DWI上的高信号是真的梗死,还是其他伪影,真正的梗死在ADC图上会显示为低信号(暗黑色)。
- 液体衰减反转恢复: 对水肿非常敏感,在早期也能看到梗死区域呈高信号,但不如DWI特异,因为它也会受其他病变(如炎症、肿瘤)影响。
- 磁共振血管成像: 可以同时评估脑血管的情况,看看是哪根血管堵塞了(如大脑中动脉),以及评估侧支循环,对治疗方案的选择至关重要。
总结与对比
| 特性 | 头颅CT | 磁共振成像 |
|---|---|---|
| 检查时间窗 | 发病后 6-12小时 后才较易发现 | 发病后 数分钟至数小时 即可发现(DWI序列) |
| 早期敏感性 | 低 (发病6小时内 < 20%) | 非常高 (发病2小时内 > 80%) |
| 优势 | 快速、便宜、普及率高、对出血敏感 | 无辐射、对软组织分辨率高、能发现超早期梗死、能评估血管和脑功能 |
| 劣势 | 对早期梗死不敏感、骨伪影干扰 | 检查时间长、费用高、体内有金属者受限、幽闭恐惧症患者不耐受 |
| 主要应用 | 排除脑出血,快速筛查 | 确诊早期脑梗死,病因评估,指导溶栓/取栓治疗 |
临床意义
- “时间就是大脑”:对于急性脑梗死,最有效的治疗手段是静脉溶栓(在发病4.5小时内)和机械取栓(在发病6-24小时内,符合条件者),能否在“时间窗”内明确诊断,直接决定了患者能否接受这些挽救生命的治疗。
- 指导治疗决策:如果DWI显示有明确的早期梗死灶,而CT上没有出血,医生就可以更果断地启动溶栓流程,为患者争取最佳预后。
脑核磁共振,特别是其中的DWI序列,是目前检查早期脑梗死最敏感、最可靠的方法。 如果怀疑自己或家人出现急性脑梗死的症状(如突发口角歪斜、肢体无力、言语不清、视物模糊等),应立即前往有条件的医院急诊,并优先考虑进行头部MRI检查,以实现早期诊断和早期治疗,最大限度地减少后遗症。

(图片来源网络,侵删)
