我们通常说的“脑梗”,在医学影像上最常见、最典型的表现是在磁共振的DWI序列(弥散加权成像)上,我会重点以这个序列为例进行说明。

(图片来源网络,侵删)
什么是脑梗?为什么MRI能看清它?
脑梗,全称“脑梗死”或“缺血性脑卒中”,是因为脑部血管堵塞,导致局部脑组织缺血、缺氧,最终发生坏死,这个过程在时间上有几个关键阶段:
- 超早期(数小时内):细胞刚刚开始缺氧,但结构还完整,此时CT可能完全正常,而MRI已经开始有异常信号。
- 急性期(6小时 - 3天):细胞坏死开始,细胞内的水分自由运动受到限制,这是MRI显示最清晰的时期。
- 亚急性期(3天 - 2周):坏死组织被清除,水肿逐渐消退。
- 慢性期(2周以后):坏死组织被胶质细胞替代,形成软化灶,也就是我们常说的“脑梗死后留下的痕迹”。
脑梗在MRI不同序列上的“样子”
脑部MRI通常包含多个序列,每个序列像从不同角度给大脑拍照,脑梗在不同照片上“穿的衣服”不一样。
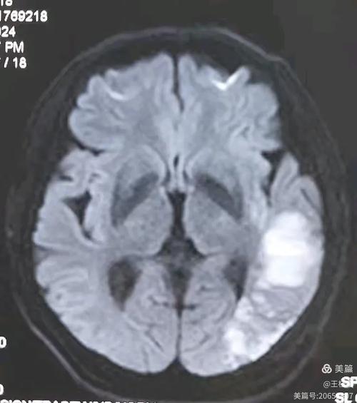
DWI序列(弥散加权成像)—— “脑梗的照妖镜”
这是诊断急性脑梗最最关键的序列。
- 图片表现:在正常的脑组织背景上,梗死的区域会显示为一个非常亮的白色高信号。
- 原理:急性梗死的脑细胞水肿,细胞膜破裂,细胞内的水分子运动受到极大限制,无法自由“弥散”,DWI序列对水分子的自由运动非常敏感,运动受限的区域信号就异常增高,呈现出亮白色。
- 临床意义:只要在DWI上看到明确的亮白斑,医生就可以高度怀疑是新鲜的脑梗死,并立即进行溶栓或取栓等治疗,这是时间窗内(通常发病后4.5-6小时内)决定治疗的关键依据。
示例图(模拟):

(图片来源网络,侵删)
- 左侧是正常的DWI图像,脑组织信号均匀。
- 右侧是急性脑梗患者的DWI图像,红色箭头所指的白色高信号区域就是急性梗死灶。
FLAIR序列(液体衰减反转恢复)—— “水肿的放大镜”
这个序列对脑组织水肿非常敏感。
- 图片表现:
- 在急性期,梗死区域周围的水肿带会显示为高信号(白色),有时梗死灶本身也呈高信号。
- 在慢性期,坏死脑组织被脑脊液填充,在FLAIR上会呈现低信号(黑色),与周围的脑脊液信号相似,但形态不规则,这是陈旧梗死的特征。
- 临床意义:帮助判断梗死的时期,并排除一些类似肿瘤的病变。
T1序列和T2序列—— “基础结构像”
这两个是MRI最基础的序列,提供大脑的解剖结构信息。
- T2序列:
- 急性期:梗死区域因为水肿会显示为高信号(白色)。
- 慢性期:梗死灶形成软化灶,信号与脑脊液相似,在T2上也是高信号(白色)。
- T1序列:
- 急性期:梗死区域通常表现为稍低信号或等信号,不如DWI和FLAIR敏感。
- 慢性期:梗死灶的信号特征非常典型,因为蛋白质和脂质沉积,会呈现非常低信号(黑色),像一个“黑洞”,这是识别陈旧梗死的可靠标志。
- 临床意义:它们是诊断的基础,但单独看对急性脑梗的诊断不如DWI敏感。
ADC序列(表观弥散系数)—— “DWI的真相”
ADC是DWI的“反向”序列,它直接反映水分子的弥散程度。
- 图片表现:在急性梗死区域,因为水分子运动受限,ADC值会显著降低,图像上显示为黑色低信号。
- 临床意义:ADC是鉴别急性脑梗和伪影的关键!有时候DWI上的亮白斑可能是由于病人头部运动或磁敏感伪影造成的,这时如果ADC上对应的区域也是黑色,就证实了是真正的梗死,如果ADC上是白色(高信号),则DWI的亮白斑很可能是伪影,可以排除脑梗。
图片解读总结表
| 序列名称 | 急性期(数小时-3天) | 慢性期(2周以后) | 主要临床价值 |
|---|---|---|---|
| DWI (弥散加权) | 高信号 (亮白色) | 信号逐渐恢复正常或变为等信号 | 诊断急性脑梗的金标准 |
| ADC (表观弥散) | 低信号 (黑色) | 信号恢复正常或升高 | 与DWI结合,排除伪影,确诊急性梗 |
| FLAIR (液体衰减) | 高信号 (白色,含水肿) | 低信号 (黑色,软化灶) | 显示水肿,判断时期,鉴别病变 |
| T2加权 | 高信号 (白色) | 高信号 (白色,软化灶) | 基础解剖,显示水肿和软化灶,但特异性不高 |
| T1加权 | 稍低/等信号 | 低信号 (黑色,软化灶) | 基础解剖,识别陈旧梗死的“黑洞”征 |
如何从图片上定位脑梗?
医生会通过MRI上的定位图来确定梗死的位置。

(图片来源网络,侵删)
- 横断面:像切面包一样,从头顶到脚底一层一层扫描,这是最常用的观察平面。
- 冠状面:像从正面给大脑拍一张X光片。
- 矢状面:像从侧面给大脑拍一张X光片。
通过这三个平面,医生可以精确地指出梗死灶位于大脑的哪个叶(如额叶、颞叶、顶叶、枕叶)、哪个脑区(如基底节区、丘脑、脑干、小脑),以及具体影响了哪些功能(如运动区、语言区等)。“左侧大脑中动脉供血区急性梗死”,就表明左侧大脑半球的很大一部分区域发生了缺血。
重要提醒
- 我不是医生仅为科普知识,不能替代专业医疗建议。
- 图片解读需专业:脑部MRI图像非常复杂,必须由专业的神经科医生或影像科医生结合临床症状、病史进行综合判断。
- 及时就医:如果您或您身边的人出现突发的口角歪斜、肢体无力、言语不清等症状,请立即拨打急救电话,时间就是大脑!
希望这份详细的解释能帮助您更好地理解脑梗的MRI影像。
