这是一个非常重要且常见的问题。

(图片来源网络,侵删)
答案是:会的,而且这种情况并不少见。
一个正常的脑部CT报告,不能完全排除急性脑梗死的可能性,下面我将详细解释为什么,以及这背后的原因和应对策略。
为什么CT正常,却可能发生脑梗?
这主要涉及到脑梗死的病理生理过程和CT检查的局限性。
脑梗死的发生机制
脑梗死,俗称“中风”,最常见的原因是缺血性脑卒中,即脑血管堵塞导致局部脑组织缺血缺氧坏死,这个堵塞通常由以下两种情况引起:

(图片来源网络,侵删)
- 血栓形成:在已经存在动脉粥样硬化的血管壁上,血小板、纤维蛋白等物质聚集形成血栓,逐渐堵塞血管。
- 栓塞:身体其他部位(如心脏、颈部动脉)的斑块或血凝块脱落,随血流进入脑动脉,堵塞较细的分支。
CT检查的“时间窗”限制
这是最关键的原因,CT对于脑梗死的诊断有一个非常明确的“时间窗”。
- 超早期(发病后6小时内):在这个阶段,脑细胞刚刚开始缺血,但细胞结构尚未发生不可逆的坏死,脑组织的含水量、密度等变化非常微小,常规CT扫描完全无法显示出异常,这个阶段的CT表现通常是“正常”的。
- 发病后6-24小时:缺血中心区域的脑细胞开始水肿,细胞坏死导致局部密度轻微降低,但这个密度变化非常细微,有经验的放射科医生可能会发现一些间接征象(如脑沟变浅、脑回模糊、豆状核边界模糊等),但常规CT仍可能报告为“未见明显异常密度灶”。
- 发病24-48小时后:脑细胞坏死和水肿达到高峰,梗死区域在CT上会显示出清晰的低密度灶,此时诊断就非常明确了。
简单比喻: 就像地震刚发生时,地表可能没有任何裂缝,但内部的建筑结构已经受损了,过了一段时间,地面才会出现明显的塌陷和裂缝,CT就是那个“地表”,而脑细胞是“建筑”。
其他可能的原因
- 小血管梗死(腔隙性梗死):如果堵塞的是非常细小的穿通动脉,梗死灶的体积可能非常小(只有几毫米),常规CT的分辨率可能不足以显示如此微小的病灶,尤其是在脑干、丘脑等深部结构时。
- 后循环梗死:发生在脑干、小脑等部位的梗死,有时因为颅骨伪影或解剖结构复杂,早期CT也容易漏诊。
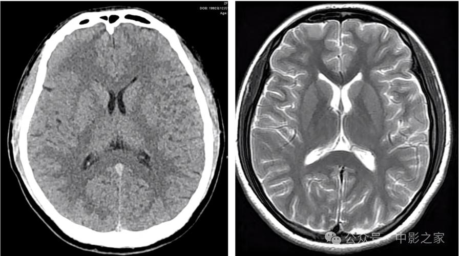
- CT的局限性:CT主要看的是密度变化,对于早期细胞级别的缺血不敏感,而磁共振成像,特别是DWI序列(弥散加权成像),对早期脑缺血(发病后几分钟到几小时)就非常敏感,被称为诊断早期脑梗死的“金标准”。
如果怀疑脑梗死,但CT正常,该怎么办?
最重要的一点:时间就是大脑!
-
立即就医,不要等待:一旦出现脑梗死的“FAST”症状,即使CT正常,也必须当作是脑梗死来紧急处理。
(图片来源网络,侵删)- F (Face - 脸):脸是否不对称、口角歪斜?
- A (Arms - 手臂):手臂是否能平举,是否有单侧无力或麻木?
- S (Speech - 言语):说话是否含糊不清、无法理解或表达?
- T (Time - 时间):出现上述症状,立即拨打急救电话!
-
医生会进行下一步评估:
- 临床诊断是核心:医生会根据你的症状、体征和病史做出高度怀疑脑梗死的临床诊断。
- 立即复查MRI:这是最关键的步骤,如果高度怀疑但CT正常,医生会立刻安排头部MRI检查,特别是DWI序列,以明确是否存在早期梗死。
- 血管评估:通过CTA(CT血管造影)、MRA(磁共振血管造影)或颈动脉超声等检查,寻找血管堵塞的部位和原因(如动脉粥样硬化、斑块、夹层等)。
- 心脏检查:排查心源性栓塞的可能,如做心电图、心脏超声等。
- 脑CT正常不能完全排除急性脑梗死,尤其是在发病后的6-12小时内。
- CT正常而实际是脑梗死的情况很常见,这是由CT检查本身的时间窗局限性决定的。
- 临床表现是诊断的基石,只要出现典型的脑卒中症状,就要立即按脑梗死的流程来处理。
- MRI是早期脑梗死的“火眼金睛”,对于怀疑脑梗但CT正常的患者,应尽快进行头部MRI检查以明确诊断。
请牢记:任何怀疑中风的症状,都应被视为医疗急症,第一时间寻求专业医疗帮助,切勿因CT报告“正常”而掉以轻心,延误了最佳治疗时机。
