这是一个非常好的问题,也是很多人关心的问题。

(图片来源网络,侵删)
能,但有“时间窗”的限制。
下面为您详细解释一下:
CT在诊断脑梗中的核心作用:排除脑出血
在怀疑脑梗(医学上称为“缺血性脑卒中”)时,CT的首要和最重要的作用是排除脑出血。
- 为什么必须先排除脑出血?
因为脑梗和脑出血的治疗原则是完全相反的。
- 脑梗是脑血管堵塞了,需要用溶栓、取栓等手段来疏通血管。
- 脑出血是脑血管破裂了,需要用止血、降颅压等手段来控制出血。 如果在没有排除脑出血的情况下,错误地对脑出血患者进行溶栓治疗,将会导致灾难性的后果,可能加重出血甚至危及生命。
任何怀疑中风的病人,到达急诊后的第一步就是立刻做头部CT,这是最关键的鉴别诊断。

(图片来源网络,侵删)
CT如何直接发现脑梗?
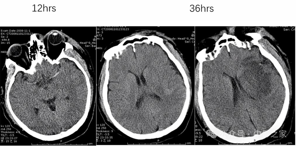
在脑梗发生的早期(通常在6小时内),普通的CT扫描很难直接显示出脑梗的病灶,因为在这个阶段,脑组织只是缺血,细胞水肿还非常轻微,密度变化不大,CT上可能完全正常,或者只有一些非常细微、难以察觉的征象。
如果发病时间超过6-24小时,随着脑细胞开始死亡、水肿加重,CT上就可能出现一些异常信号,医生可以据此判断脑梗的可能性,这些早期间接征象包括:
- 脑沟变浅或消失:由于脑组织水肿,导致脑表面的沟回变浅。
- 大脑中动脉高密度征:这是提示大脑中动脉主干堵塞的一个非常重要的早期征象。
- 豆状核边界模糊:正常情况下,豆状核在CT上轮廓清晰,缺血后其边界会变得模糊。
“金标准”检查:CTA和CTP
为了更准确地诊断脑梗,医生通常会进行增强CT扫描,主要包括两项:
-
CT血管成像(CT Angiography, CTA):
(图片来源网络,侵删)- 作用:通过注射造影剂,清晰地显示脑血管的情况。
- 能看出什么:可以直接看到哪根血管堵塞了(比如大脑中动脉、颈内动脉等),以及堵塞的位置和严重程度,这对于后续是否进行取栓手术至关重要。
-
CT灌注成像(CT Perfusion, CTP):
- 作用:通过注射造影剂,动态观察脑组织的血流灌注情况。
- 能看出什么:可以区分出缺血的核心区域(已经坏死的脑组织,无法挽救)和缺血的半暗带(处于危险状态但仍有救活的脑组织),这是决定是否进行溶栓治疗的关键依据,治疗的目标就是抢救“半暗带”。
总结与对比
| 检查类型 | 优点 | 缺点 | 主要应用场景 |
|---|---|---|---|
| 普通平扫CT | 快速、普及、便宜 | 对超早期脑梗(<6小时)不敏感 | 首要任务:排除脑出血。 发病6小时后:发现梗塞灶。 |
| CT血管成像 | 快速、清晰地显示血管有无堵塞 | 需要注射造影剂,有过敏风险 | 明确血管堵塞的位置和原因。 评估是否适合取栓手术。 |
| CT灌注成像 | 评估脑组织的血流灌注情况,区分坏死区和可挽救区 | 检查时间稍长,辐射和造影剂剂量更高 | 评估缺血半暗带,指导溶栓治疗。 判断脑组织活力。 |
-
脑CT能看出脑梗吗?
- 能,但分情况:
- 普通CT在发病6小时内可能看不出,但能排除脑出血;在6小时后则有可能发现梗塞灶。
- 增强CT(CTA/CTP)可以非常明确地发现血管堵塞和评估脑组织缺血情况,是诊断和指导治疗的关键工具。
- 能,但分情况:
-
如果怀疑脑梗,应该做什么检查?
- 立即去急诊,并立刻做头部CT平扫! 这是第一步,也是最重要的一步,目的是排除脑出血。
- 如果高度怀疑是脑梗,医生会根据病情和发病时间,进一步安排CTA和CTP检查,以制定最佳的治疗方案。
重要提醒: 时间就是大脑!一旦出现中风症状(如口角歪斜、肢体无力、言语不清、视物模糊等),请立即拨打急救电话,争分夺秒送往有救治能力的医院,千万不要拖延!
