核磁共振 是什么?
核磁共振是一种利用强大的磁场、无线电波和计算机来生成人体内部精细图像的先进技术,与CT(计算机断层扫描)相比,MRI最大的优势在于:

(图片来源网络,侵删)
- 无电离辐射:对人体更安全,可以重复检查。
- 软组织分辨率极高:能清晰分辨大脑的灰质、白质、脑脊液等不同组织,对于发现微小的病变非常敏感。
- 多序列成像:可以通过不同的“序列”来突出显示组织的不同特性,为医生提供更丰富的诊断信息。
核磁共振如何诊断“脑肿块”?
脑肿块是指颅内的占位性病变,包括肿瘤(良性或恶性)、脓肿、血肿、囊肿等,MRI是发现和初步判断脑肿块性质的首选方法。
MRI在脑肿块诊断中的优势:
- 发现和定位:能非常敏感地发现非常微小的肿块,并精确显示其位置、大小、形状以及与周围脑组织(如重要的血管、神经核团)的关系。
- 定性分析(初步判断性质):通过不同的MRI序列,医生可以推断肿块的大致性质。
- T1加权像 (T1WI) 和 T2加权像 (T2WI):这是最基本的两个序列。
- 肿瘤:通常在T2像上呈高信号(白色),在T1像上呈低信号(黑色)。
- 脑膜瘤:常紧贴大脑镰或小脑幕生长,在T1像上与脑组织等信号。
- 囊肿:在T1和T2像上都呈非常均匀的高信号,像一个“水泡”。
- 急性出血:在T1像上可能呈高信号。
- 增强扫描 (Contrast-Enhanced MRI):这是至关重要的一步,通过静脉注射造影剂(钆剂),可以观察肿块的血供情况。
- “强化”意味着肿块血供丰富,这是恶性肿瘤的典型特征,在图像上,肿块会变得非常亮。
- 不同类型的肿瘤,其强化的方式(均匀强化、环形强化、不均匀强化)也不同,有助于鉴别诊断。
- 弥散加权成像 (DWI) 和 表观弥散系数 (ADC):
- 对急性脑脓肿的诊断有“决定性”意义,脓肿的中心区域由于细胞密集,水分子运动受限,在DWI上呈高信号,而肿瘤的坏死区通常呈低信号。
- 磁共振波谱 (MRS):可以分析肿块内代谢物的变化(如胆碱、肌酸、NAA等),提供关于肿瘤细胞增殖、坏死等生化信息,对良恶性肿瘤的鉴别有重要帮助。
- T1加权像 (T1WI) 和 T2加权像 (T2WI):这是最基本的两个序列。
脑肿块的MRI表现
| 病变类型 | T1加权像 | T2加权像 | 增强扫描 | DWI |
|---|---|---|---|---|
| 胶质母细胞瘤 | 低信号 | 高信号 (不均匀) | 明显不均匀强化 (花环状) | 坏死区低信号,实性区高信号 |
| 脑膜瘤 | 等/低信号 | 等/高信号 | 明显均匀强化 | 通常低信号 |
| 脑转移瘤 | 低/等信号 | 高信号 | 明显环形强化 (“牛眼征”) | 坏死区低信号 |
| 脑脓肿 | 低信号 | 高信号 | 环形强化 | 中心极高信号 (特征性) |
| 囊肿 | 极低信号 | 极高信号 | 无强化 | 低信号 |
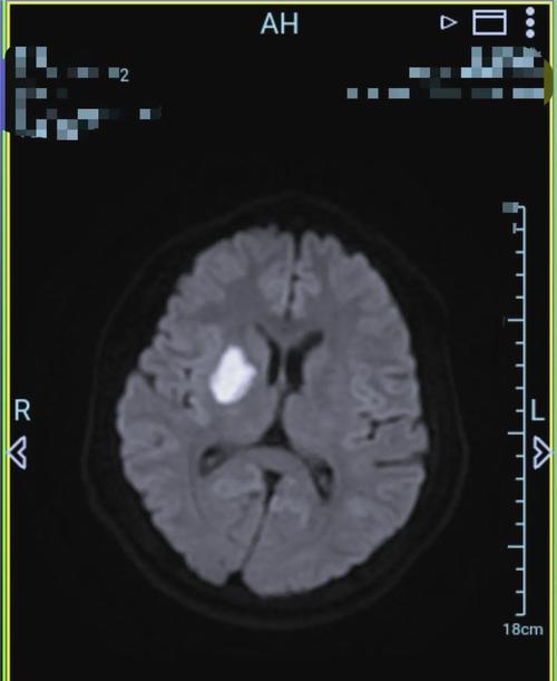
核磁共振如何诊断“脑梗塞”?
脑梗塞,俗称“中风”,是由于脑部血管堵塞导致局部脑组织缺血、缺氧而发生的坏死,MRI是诊断急性期和超急性期脑梗塞最敏感的检查。
MRI在脑梗塞诊断中的优势:
-
时间窗优势:这是MRI最核心的优势。
- CT:在脑梗塞发生后的6小时内,通常完全正常,只有当梗塞区域发生水肿或出血时,才可能在24小时后显示。
- MRI (特别是DWI序列):能在梗塞发生的几分钟到1小时内就发现异常,DWI对细胞毒性水肿(梗塞最早期的表现)极为敏感。
-
关键序列:
(图片来源网络,侵删)- 弥散加权成像 (DWI) 和 表观弥散系数 (ADC):
- 急性期脑梗塞:在DWI上呈明显高信号,而在ADC图上呈低信号,这是诊断急性脑梗塞的“金标准”。
- 液体衰减反转恢复序列 (FLAIR):
对梗塞后几天到几周的亚急性和慢性期病变显示更佳,它能清晰地显示脑沟、脑回的形态,梗塞区域在FLAIR上呈高信号,并且能更好地显示早期的皮层下梗塞。
- 灌注加权成像 (PWI):
- 评估脑组织的血液灌注情况,通过PWI可以区分“缺血半暗带”(Idpenable Penumbra)——即那些血流已经减少但细胞尚未死亡的、有救活的脑组织,这对于决定是否进行静脉溶栓或动脉取栓等紧急治疗至关重要。
- 弥散加权成像 (DWI) 和 表观弥散系数 (ADC):
脑梗塞的MRI表现(按时间演变)
| 时间阶段 | DWI | ADC | FLAIR | T1 | T2 |
|---|---|---|---|---|---|
| 超急性期 (< 6小时) | 极高信号 | 低信号 | 可能正常 | 正常 | 正常 |
| 急性期 (6-24小时) | 高信号 | 低信号 | 可能正常或稍高 | 正常 | 稍高信号 |
| 亚急性期 (1-3周) | 高信号 | 信号逐渐升高 | 高信号 | 脑回样高信号 | 高信号 |
| 慢性期 (> 1个月) | 等或低信号 | 高信号 | 高信号 | 脑软化灶 (低信号) | 高信号 (软化灶) |
脑肿块与脑梗塞的鉴别与联系
虽然两者是不同的疾病,但它们之间有时会存在联系,也可能在影像上表现相似,需要仔细鉴别。
鉴别诊断
| 特征 | 脑梗塞 | 脑肿瘤 |
|---|---|---|
| 发病速度 | 急性(数分钟到数小时) | 慢性(数周、数月甚至数年) |
| 典型症状 | 突发的偏瘫、失语、眩晕等“血管分布区”症状 | 进行性加重的头痛、癫痫、神经功能障碍等 |
| MRI关键点 | 符合血管分布(如大脑中动脉供血区),呈楔形或扇形,DWI早期高信号。 | 占位效应明显,可跨越血管分布区,形态不规则,增强扫描有强化。 |
| “假肿瘤”效应 | 某些慢性或特殊类型的梗塞(如分水岭梗塞)会引起严重水肿,影像上类似肿瘤,称为“脑梗塞伴占位效应”。 | - |
相互联系
- 肿瘤性卒中:某些肿瘤(如胶质瘤、转移瘤、血管母细胞瘤)内部血管丰富且脆弱,可能发生自发性出血或形成血栓,导致肿瘤内部出现梗塞或出血性梗塞,此时影像表现会非常复杂。
- 肿瘤压迫血管:大型脑瘤可能压迫邻近的脑血管,导致远端脑组织缺血,形成梗塞。
- 治疗相关:脑肿瘤的放疗或手术本身可能增加未来发生梗塞的风险。
总结与建议
- 核磁共振是诊断脑部疾病无可替代的“金标准”,尤其对于脑梗塞的早期发现和脑肿瘤的精确定性与鉴别诊断。
- 脑梗塞看MRI,重点看DWI序列,它能最快告诉你是不是急性中风,为抢救赢得宝贵时间。
- 脑肿块看MRI,通常需要做平扫+增强扫描,必要时还需做MRS等高级序列来帮助判断肿块的性质。
- 影像学诊断必须结合临床症状和体征,MRI报告只是影像科医生的读片结果,最终的诊断和治疗方案需要由神经内科或神经外科医生综合判断。
如果您或您的家人朋友遇到相关检查,请务必携带完整的影像资料和报告,咨询专业的神经科医生,进行下一步的诊断和治疗。

(图片来源网络,侵删)
