这是一个非常好的问题,也是很多患者关心的话题。

(图片来源网络,侵删)
简单直接的回答是:风湿类风湿关节炎(通常指类风湿关节炎,RA)在拍片(主要是X光片)的早期阶段,可能看不出明显异常,或者只能看到一些非常细微的、非特异性的变化,但随着疾病的发展,拍片会显示出非常典型的、具有诊断价值的特征。
下面我为您详细解释一下拍片(X光)在类风湿关节炎诊断中的作用、能看什么、以及局限性。
拍片(X光)能看出什么?(随疾病进展变化)
X光片主要观察的是骨骼和关节的结构变化,在类风湿关节炎中,这些变化是由于长期的滑膜炎症侵蚀了软骨和骨骼导致的。
早期(可能1年内):变化不明显或非常轻微
在疾病的早期,炎症主要发生在滑膜(滑膜炎),此时骨骼和软骨还没有受到明显破坏,所以X光片可能:

(图片来源网络,侵删)
- 完全正常: 这是完全有可能的,尤其是在发病初期。
- 仅见软组织肿胀: 可以看到关节周围的组织因为积液和炎症而显得肿胀、密度增高,但这不是特异性的,其他关节炎也可能有此表现。
- 轻微的骨质疏松: 受累关节周围的骨骼可能出现脱钙、密度降低的情况,这是因为炎症导致局部血流增加,骨骼代谢加快,骨量丢失,这也是比较早期的非特异性表现。
中晚期:出现典型的破坏性改变
如果疾病没有得到有效控制,持续数年后,X光片上就会出现典型的、具有诊断意义的改变:
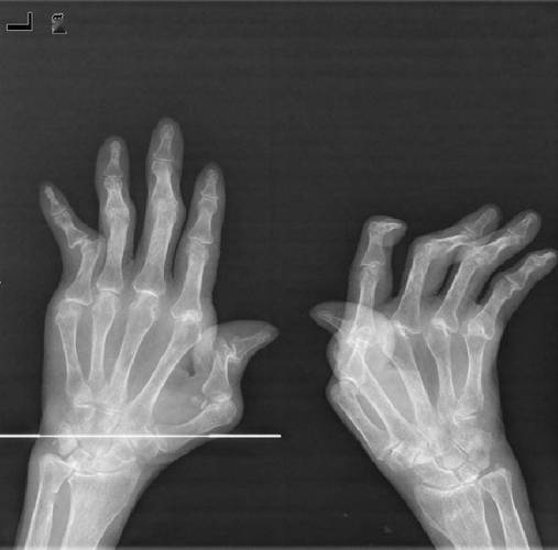
- 关节间隙狭窄: 这是最关键的X光表现之一,正常软骨在X光下是看不见的,所以关节间隙其实是软骨的厚度,当类风湿关节炎的炎症侵蚀掉软骨后,X光片上就能看到关节之间的空隙变窄了。
- 骨侵蚀: 这是另一个最具诊断价值的特征,炎症的增厚滑膜(血管翳)会像“癌细胞”一样,从关节边缘开始侵蚀骨骼,在X光片上形成边缘清晰的、小洞样的骨质缺损,常见于手指、手腕的掌骨头和指骨的基底部。
- 关节畸形: 当软骨和骨骼被严重破坏,关节周围的韧带和肌腱也因炎症而松弛或断裂时,关节就会失去正常的对位关系,导致畸形,例如手指的“天鹅颈”样畸形、“钮扣花”样畸形,手腕的尺偏畸形等。
- 骨性强直: 在极晚期,严重的骨侵蚀和修复反应可能导致关节面完全融合,活动完全丧失,这在X光片上表现为关节间隙消失,骨头长在了一起,类风湿关节炎更常导致的是纤维性强直(活动受限但X光上没长死),骨性强直相对少见。
一个简单的比喻:
- 早期:X光片就像房子的外墙,看起来还很完整,但内部已经开始有水管漏水(滑膜炎)。
- 中晚期:X光片就像房子,不仅墙皮脱落(骨质疏松),地基和承重墙也被蛀空了(骨侵蚀),墙与墙之间的缝隙也变大了(关节间隙狭窄),甚至有些地方都塌了(关节畸形)。
拍片的局限性
尽管X光片在中晚期诊断中非常重要,但它也有明显的局限性:
- 早期敏感性差: 如上所述,在疾病早期,当治疗窗口最宝贵的时候,X光片往往是阴性的,如果医生仅凭X光片正常就排除类风湿关节炎,可能会延误诊断和治疗。
- 无法评估软组织: X光无法直接看到滑膜、肌腱、韧带等软组织的炎症程度,而这些正是类风湿关节炎最早和最主要的病变部位。
- 无法评估炎症活动度: X光片显示的是“后遗症”(破坏和畸形),而不是“正在发生的火灾”(炎症),医生无法通过一张X光片来判断患者当前的炎症有多活跃。
除了拍片,还有哪些更重要的检查?
正因为X光片的局限性,现代风湿病的诊断强调“综合评估”,不会只依赖一张片子,以下检查同样重要,甚至更关键:

(图片来源网络,侵删)
- 临床问诊和体格检查: 医生会详细询问您的症状(晨僵、疼痛、肿胀的部位和特点)、家族史,并进行详细的体格检查,查看关节是否有肿胀、压痛、活动受限等。
- 血液检查(实验室检查):
- 类风湿因子: 传统指标,但阳性率不高(约70-80%),且特异性不强(其他疾病也可能阳性)。
- 抗环瓜氨酸肽抗体: 这是目前诊断类风湿关节炎特异性最高的指标之一,对早期诊断非常有价值。
- 血沉 和 C反应蛋白: 这两个指标反映体内的炎症水平,水平越高,说明炎症越重。
- 超声: 可以非常清晰地看到关节滑膜的增厚、血流信号丰富(提示炎症),以及早期、微小的骨侵蚀,对于早期诊断和评估炎症活动度,超声比X光敏感得多。
- 磁共振成像: 这是目前评估早期类风湿关节炎的“金标准”,MRI能发现X光和超声都看不到的、非常早期的骨髓水肿和滑膜炎,是诊断极早期RA和预测未来骨破坏风险的最有力工具。
| 检查方法 | 主要作用 | 优点 | 缺点 |
|---|---|---|---|
| X光片 (拍片) | 评估中晚期骨结构破坏 | 简单、便宜、普及、能显示典型畸形 | 早期敏感性差,无法评估软组织和炎症活动 |
| 血液检查 | 寻找特定的抗体和炎症指标 | 有助于诊断和评估全身炎症 | 无特异性(如RF),不能定位关节病变 |
| 超声 | 评估滑膜炎、腱鞘炎和早期骨侵蚀 | 实时、动态、无创、比X光敏感 | 操作者依赖性强,对骨皮质的微小侵蚀显示不如MRI |
| 磁共振 | 评估早期滑膜炎、骨髓水肿和骨侵蚀 | 最敏感,能发现最早期的病变 | 昂贵、耗时、有噪音、检查禁忌症多 |
拍片(X光)是诊断和随访类风湿关节炎的重要工具,但绝不是唯一的工具。 它对于发现中晚期的骨破坏和畸形非常有价值,在疾病的早期,医生会更多地结合您的临床症状、血液检查(尤其是抗CCP抗体)以及超声或MRI等影像学检查来做出准确的诊断。
如果您有关节肿痛、晨僵等症状,即使X光片正常,也一定要去正规医院的风湿免疫科就诊,以免延误病情,早期诊断、早期治疗是控制类风湿关节炎、防止关节残疾的关键!
