一句话概括
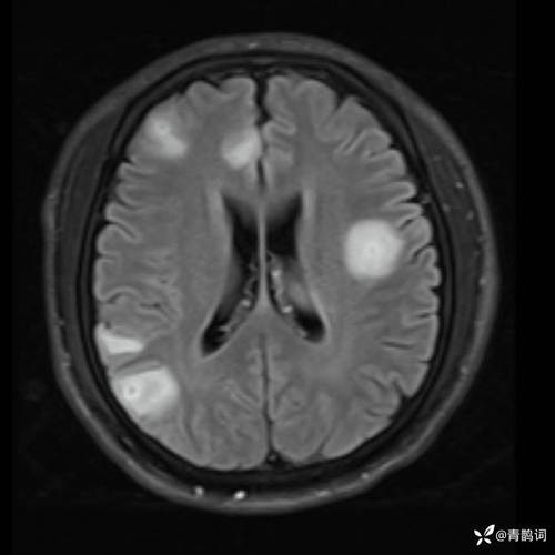
“脑梗病灶可见弥散受限”是急性脑梗死(中风)在磁共振成像(MRI)上一个非常特异和早期的“指纹”或“标志”。 它意味着脑组织由于缺血缺氧,细胞正在发生不可逆的死亡,医生可以据此在发病的早期就明确诊断脑梗。

(图片来源网络,侵删)
分步详解
为了更好地理解,我们把它拆分成几个部分:
什么是“脑梗”?
- 全称:脑梗死,也叫缺血性脑卒中。
- 简单比喻:就像城市供水系统,某条主要水管(脑动脉)被堵住了,导致下游的区域(脑组织)断水、断电(缺血缺氧)。
- 后果:如果断水时间太长,下游的居民(脑细胞)就会因为缺水缺电而死亡,这种细胞死亡是不可逆的。
什么是“弥散受限”?
这里的“弥散”指的是“水分子弥散”。
- 正常情况下的脑组织:我们的大脑里充满了水,正常情况下,水分子在细胞内和细胞外是自由、随机地运动的,就像在一个开阔的广场上自由奔跑的人,这种运动方式在医学上称为“布朗运动”。
- 缺血缺氧的情况(脑梗发生后):
- 能量耗尽:脑细胞没有氧气和能量供应后,细胞膜上的“钠钾泵”会失灵。
- 细胞水肿:钠离子和水会大量涌入细胞内部,导致细胞像被吹胀的气球一样,发生“细胞毒性水肿”。
- 空间变小:细胞内部变得拥挤,水分子的活动空间被大大压缩了,它们想自由移动,但到处都是障碍物(细胞器、细胞膜)。
- “弥散受限”的含义:在MRI的“弥散加权成像”(DWI)序列上,如果水分子运动受限,无法自由移动,这个区域在图像上就会显示为高信号(亮白色),这就是“弥散受限”的影像表现。
一个简单的比喻:
- 正常脑组织:在一个空旷的房间里,很多人可以自由跑动,这叫“弥散自由”。
- 脑梗病灶:这个房间突然被塞满了家具和杂物,人跑动的空间变得非常小,动弹不得,这叫“弥散受限”。
“弥散受限”的临床意义(为什么它如此重要?)
-
早期诊断的“金标准”:
(图片来源网络,侵删)- 在脑梗发生的最初几个小时内(比如6小时内),常规的CT和普通MRI可能完全看不出任何异常。
- 但此时,细胞已经开始水肿,水分子弥散已经受限。DWI序列可以非常敏感地显示出病灶,比其他所有检查都早,这对于医生判断是否需要紧急进行溶栓或取栓治疗至关重要。
-
高度特异性:
- “弥散受限”虽然最常见于急性脑梗死,但也可见于其他一些情况,如:
- 急性脑脓肿:脓液里粘稠的蛋白质也限制了水分子运动。
- 某些肿瘤:如淋巴瘤、胶质母细胞瘤细胞密度高。
- 癫痫发作后期的“细胞毒性水肿”。
- 尽管有这些“鉴别诊断”,但在一个有典型中风症状的患者身上,“弥散受限”几乎就等同于急性脑梗死。
- “弥散受限”虽然最常见于急性脑梗死,但也可见于其他一些情况,如:
-
区分新旧病灶:
- 急性期(<1周):病灶在DWI上呈高信号(亮),而在另一个序列“表观弥散系数”(ADC)图上呈低信号(暗),这个“亮-暗”组合是急性梗死的典型表现。
- 慢性期(>1-2周):坏死的细胞被清除,形成囊腔,水分子又可以自由活动了,病灶在DWI上的高信号会消失,变为等信号或低信号,在ADC图上信号恢复正常。
当您在影像报告上看到“脑梗病灶可见弥散受限”时,可以这样理解:
- 诊断:这明确告诉你,大脑的某个区域确实发生了急性缺血性梗死。
- 时间:这是一个新近发生的病灶,通常是几天内的。
- 严重性:这部分脑组织已经因缺血缺氧而受损,细胞正在死亡。
- 治疗方向:这强调了时间就是大脑,需要尽快就医评估是否可以进行溶栓或取栓等再灌注治疗,以挽救缺血半暗带(濒死的脑组织)。
重要提示:这只是影像学描述,最终的诊断和治疗方案需要由神经内科医生结合患者的临床症状、体征以及其他检查结果综合判断,请务必咨询专业医生。

(图片来源网络,侵删)
