核心区别一览表
| 特征 | 脑梗 (一般指较大面积脑梗死) | 腔梗 (腔隙性脑梗死) |
|---|---|---|
| 梗塞灶大小 | 较大,通常直径 > 1.5厘米 | 很小,通常直径 < 1.5厘米 |
| CT影像表现 | 发病早期(6小时内)可能显示正常。 6-24小时后,出现低密度(发黑)的病灶,边界较清楚,可伴有占位效应(如脑沟变浅、中线移位)。 |
通常在发病24小时后才能清晰显示。 表现为小的、圆形或卵圆形的低密度灶,边界清晰,无占位效应。 |
| 发生位置 | 发生在大血管供血区,如大脑中动脉、大脑前动脉等。 | 发生在深穿支动脉供血区,常见于基底节区、丘脑、脑干、放射冠等。 |
| 临床症状 | 症状严重、多样,取决于梗死部位,可出现偏瘫、偏身感觉障碍、失语、视野缺损、意识障碍等。 | 症状相对较轻、局限,甚至无症状(即“静息性梗死”),可表现为纯运动性轻偏瘫、纯感觉性卒中、共济失调性轻偏瘫等。 |
| 病因 | 主要由大血管闭塞引起,常与动脉粥样硬化、心源性栓塞、大动脉炎等有关。 | 主要由长期高血压、小血管病变引起,导致深穿支动脉闭塞。 |
详细解释
脑梗”
当我们通常说“脑梗”,指的是较大面积的脑梗死,它是由大脑的主要血管(如颈内动脉、大脑中动脉)发生堵塞,导致其供血的大片脑组织缺血、缺氧、坏死。

(图片来源网络,侵删)
- CT检查的关键点:
- “时间窗”是关键:在发病后的超早期(前6小时内),由于细胞水肿还未形成,CT扫描可能完全正常,这是CT最大的局限性,此时如果高度怀疑脑梗,必须立即进行CTA(CT血管造影)检查,看看是否有血管堵塞。
- 典型表现(发病6-24小时后):
- 低密度影:梗死区域的脑组织因为水肿而密度降低,在CT图像上显示为一片发黑的区域,这是最核心的征象。
- 脑沟变浅/消失:由于脑组织水肿,压迫了脑沟,使其看起来变浅或消失。
- 中线结构移位:如果梗死面积很大,两侧大脑压力不平衡,会导致大脑中线(如大脑镰)向对侧偏移,这是占位效应的典型表现,非常危险。
- 脑室受压变形:周围水肿的脑组织会压迫侧脑室,使其变形、变小。
简单比喻:想象一块大蛋糕(脑组织)被一大块冰(梗死灶)冻住了,这块冰足够大,会把旁边的蛋糕挤得变形,甚至把中间的奶油线(脑中线)挤偏了。
腔梗”
腔梗是一种特殊类型的脑梗,它的梗塞灶非常小,像一个小“洞穴”,因此得名,它是由大脑深部的微小动脉(深穿支动脉)堵塞引起的。
- CT检查的关键点:
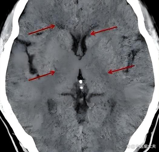
- 病灶小:这是它与普通脑梗最根本的区别,腔梗的直径通常小于1.5厘米,在CT上只是一个“小点”或“小洞”状的低密度影。
- 位置深:病灶位于大脑的“深加工车间”,如基底节、丘脑、脑干等,这些区域负责控制运动、感觉等精细功能。
- 无占位效应:因为病灶太小,不足以引起周围脑组织的水肿和移位,所以不会出现脑沟变浅、中线移位等情况,这是鉴别两者的一个重要依据。
- 可能无症状:很多腔梗患者没有任何临床症状,只是在做头部CT或MRI时偶然发现,但如果病灶位于关键部位,也可能引起轻微的、局限性的症状,比如单纯的手脚无力或麻木。
简单比喻:想象一块蛋糕里被扎进了一根非常细的针(微小动脉堵塞),只留下了一个几乎看不见的小针眼(腔梗),周围的蛋糕基本不受影响,所以不会变形。
总结与重要提醒
- 大小决定一切:CT上看到的是“一大片”发黑的区域,那就是大面积脑梗;如果只是看到几个“小点”或“小洞”,那就是腔梗。
- 时间窗很重要:怀疑脑梗,越早做CT越好,尤其是在发病6小时内,虽然CT可能正常,但能快速排除脑出血,为后续溶栓或取栓争取时间,如果CT正常但高度怀疑脑梗,医生会建议立即做MRI(磁共振),尤其是DWI序列,对早期脑梗的敏感性远高于CT。
- 不能单凭CT确诊:CT是重要的筛查工具,但确诊脑梗和腔梗,以及明确病因(是血栓还是斑块),还需要结合临床表现、MRI、MRA/CTA等综合判断。
- 腔梗是预警信号:发现腔梗,说明患者的小血管已经出现了问题,未来发生更严重脑梗的风险会增高,必须积极控制高血压、高血脂、糖尿病等危险因素。
希望这个详细的解释能帮助您清晰地理解脑梗与腔梗在CT上的区别!

(图片来源网络,侵删)

(图片来源网络,侵删)
