核心摘要:一句话总结
在超早期(发病6小时内),普通脑CT对急性脑梗的“直接”诊断价值有限,但它最重要的作用是“排除”脑出血,这是决定是否使用溶栓药物的关键前提。

(图片来源网络,侵删)
第一部分:CT看脑梗的原理——“什么能被看到?”
要理解CT怎么看脑梗,首先要明白脑梗和脑出血在CT影像上的根本区别,这源于它们不同的病理变化。
急性脑梗的病理变化(为什么早期难发现)
- 核心问题: 脑血管堵塞 -> 脑组织缺血 -> 细胞毒性水肿。
- 细胞毒性水肿是什么? 是脑细胞(神经元)因缺血缺氧,内部液体增多,细胞本身“肿胀”起来,但此时,细胞之间的间隙(细胞外间隙)是变小的。
- CT的原理: CT是通过测量X射线穿过组织后的衰减程度来成像的,它对组织密度的变化非常敏感,血液密度很高(白色),脑组织密度稍低(灰色)。
- 矛盾点: 在脑梗发生的最初几小时内,细胞肿胀导致细胞间隙变小,整个脑组织的总体密度变化非常微小,不足以被常规的CT分辨率所捕捉,就像往一个装满海绵的盒子里挤水,海绵本身变重了,但整个盒子的总重量变化不大,CT“看”不出来。
脑出血的病理变化(为什么CT很容易发现)
- 核心问题: 血管破裂 -> 血液流入脑组织。
- 血液的特点: 血液富含血红蛋白,其密度远高于周围的脑组织。
- CT的表现: 血液在CT上会呈现出非常明显的高密度影,也就是“白色”或“亮白色”的区域,这在灰色的脑组织中非常显眼,就像一滴墨水滴在水里,立刻就能被看到。
第二部分:不同时间点的CT表现(从早期到晚期)
急性脑梗在CT上的表现是一个动态演变的过程,医生会根据发病时间来解读影像。
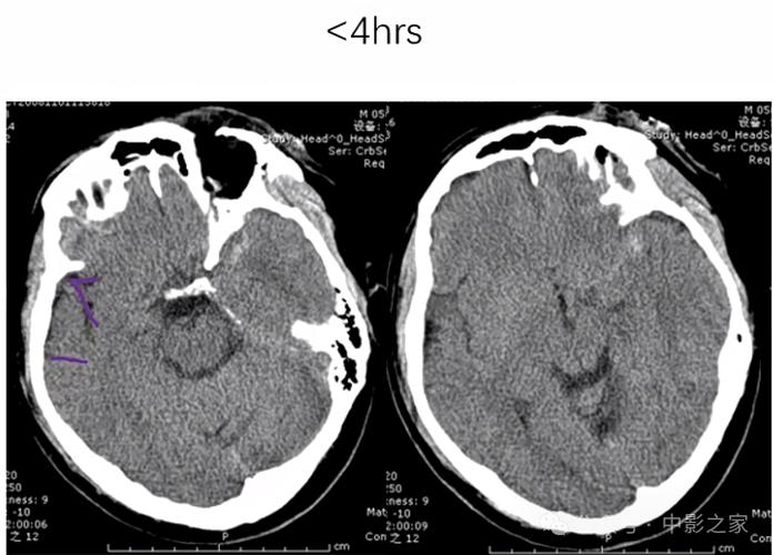
第一阶段:超早期(发病 < 6小时)
- CT表现: 绝大多数情况下,完全正常。
- 医生的解读:
- 好消息: 排除了脑出血,这是最重要的信息!因为如果脑出血,使用溶栓药(如阿替普酶)会致命。
- 挑战: 无法直接确诊脑梗,此时需要结合患者的临床症状(如偏瘫、失语等)和更高级的检查(如MRI-DWI)来确诊。
第二阶段:早期(发病 6 - 24小时)
- CT表现: 开始出现细微的、有经验的放射科和临床医生才能发现的早期征象,这些不是直接看到“梗塞灶”,而是看到脑组织受压迫的间接迹象。
- 脑沟消失/变浅: 大脑表面的沟回因为局部水肿而变平或消失。
- 豆状核模糊/密度减低: 基底节区的“豆状核”结构边界变得不清楚,或者密度比对侧略低。
- 大脑中动脉高密度征: 在大脑中动脉走行区域,看到一条“白色”的条带,这可能是血栓的直接影像,或者是因为血液浓缩导致的密度增高,这是一个比较特异性的早期征象。
- 脑实质密度轻度减低: 梗死区域的脑组织密度开始非常轻微地降低,但仍不如周围脑组织明显。
第三阶段:亚急性期(发病 1 - 3天)
- CT表现: 梗死灶变得非常清晰。
- 明确的低密度灶: 梗死的脑组织因为细胞坏死、水肿加重,密度明显低于周围正常脑组织,呈“灰色”或“黑色”。
- 占位效应: 水肿导致局部脑组织肿胀,可能压迫脑室,使其变形、移位,甚至中线结构向对侧偏移。
第四阶段:慢性期(发病 > 1周)
- CT表现:
- 软化灶形成: 坏死的脑组织被清除,留下一个与脑脊液密度相近的囊腔或低密度区,边界清晰。
- 脑萎缩: 梗死区域脑组织体积缩小,局部脑沟加深、脑室扩大。
- 可能出现钙化: 长期后,病灶边缘可能会有钙盐沉积,表现为点状高密度影。
第三部分:CT在急性脑梗诊疗中的核心作用与局限性
【核心作用:排除诊断】
- 为什么至关重要? 急性脑梗和脑出血的治疗方案截然相反,甚至是“背道而驰”的,脑梗需要尽快恢复血流(溶栓、取栓),而脑出血则需要控制出血、降低颅压。
- 流程: 患者突发卒中,医生首先会安排一个急诊头部CT,如果CT显示没有出血,就可以初步判断为缺血性卒中(脑梗),为下一步的溶栓或取栓治疗扫清了最大的障碍,如果CT显示有出血,则立即停止溶栓流程,转入脑出血的治疗方案。
【局限性】
- 对超早期不敏感: 如前所述,发病6小时内,普通CT很难直接看到梗死灶,容易漏诊。
- 对小梗死灶不敏感: 对于脑干、小脑等部位的小面积梗死,CT难以发现。
- 无法区分新旧梗死: 一个陈旧的梗死灶和一个新的梗死灶在CT上可能都表现为低密度区,医生需要结合病史来判断。
第四部分:比CT更先进的“武器”——CTA和CTP
为了弥补普通CT的不足,现代急诊卒中救治中常常会使用CT的两种高级衍生技术:
-
CT血管造影 (CT Angiography, CTA)
(图片来源网络,侵删)- 怎么做: 在静脉注射造影剂后,对脑血管进行快速扫描和三维重建。
- 看什么: 直接看血管!
- 作用: 可以清晰地显示哪根血管堵塞了(比如大脑中动脉闭塞),堵塞的程度如何,以及有没有血管狭窄或动脉瘤,这对于决定是否进行机械取栓手术至关重要。
-
CT灌注成像 (CT Perfusion, CTP)
- 怎么做: 同样需要注射造影剂,但在注射过程中对同一层面进行快速、连续的扫描。
- 看什么: 看脑组织的血流和代谢情况。
- 作用: 它可以区分出梗死核心区(已经坏死的、无法挽救的脑组织)和缺血半暗带(血流已减少但尚未坏死、通过治疗还有可能挽救的脑组织),这对于评估患者是否适合取栓、以及预测预后有巨大价值。
总结与比喻
您可以把这个过程想象成一场“洪水灾害”:
-
脑梗: 一条河流(血管)被堵住了,导致下游区域缺水(缺血)。
-
脑出血: 一条河堤决口了,洪水(血液)淹没了下游区域。
-
普通CT就像航拍照片:
- 早期(刚决口): 航拍只能看到河堤在漏(早期间接征象),或者干脆什么也看不出来(超早期正常),但它能明确决口了没有(排除出血)。
- 中期(洪水泛滥): 航拍能清晰地看到被淹没的区域(低密度灶)和洪水本身(高密度出血)。
- 晚期: 航拍看到的是一片汪洋(软化灶)和干涸龟裂的土地(脑萎缩)。
-
CTA/CTP则像更高级的监测系统:
- CTA 就像在河流上安装的监控,能实时看到哪一段河道被淤泥堵死了(血管闭塞)。
- CTP 就像在下游区域安装的土壤湿度传感器,能精确测量哪些地方土地已经完全干死(梗死核心),哪些地方只是干旱,还有救(缺血半暗带)。
在怀疑急性脑梗时,医生的第一步永远是“急诊CT排除出血”,然后根据时间窗和患者情况,决定是否需要进一步做CTA和CTP来评估血管和脑组织状态,从而制定最精准的救治方案。
