看CT片子的基本准备
在看片子之前,我们先要了解几个基本概念:

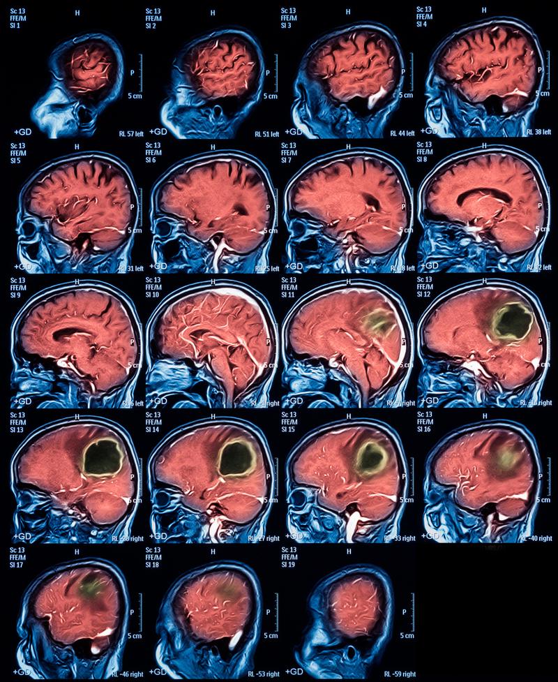
(图片来源网络,侵删)
- CT是什么? CT(计算机断层扫描)是利用X射线对大脑进行分层扫描,通过计算机处理后形成图像,它像给大脑切了一片片“面包”,我们能从不同角度看到里面的结构。
- 正常脑CT是什么样的?
- 灰质与白质: 大脑表面颜色较深的区域是灰质(神经元细胞体聚集地),内部颜色较浅的区域是白质(神经纤维束聚集地),它们之间界限清晰。
- 脑沟与脑裂: 大脑表面的沟壑,正常情况下清晰可见。
- 脑室与脑池: 中间是空的脑室系统(如侧脑室、第三脑室),里面充满脑脊液,在CT上显示为黑色低密度区。
- 密度: CT图像上用不同的灰度来表示不同的密度。
- 高密度(白色): 骨头、钙化、新鲜出血。
- 等密度(灰色): 脑组织、急性血栓。
- 低密度(黑色): 脑脊液、脑水肿、脑梗塞后的软化灶。
如何区分“腔梗”和“脑梗”的CT表现
腔隙性脑梗塞
腔梗是一种非常小的梗塞,通常是由于大脑深部的小穿支动脉阻塞引起的,梗塞灶直径一般在 5-2厘米以下。
CT表现特点:
- 病灶位置:
- 非常关键!几乎都发生在大脑深部,比如基底节区、丘脑、脑干、放射冠等,这些区域正是小穿支动脉的供血区。
- 病灶大小:
- 非常小,在CT上通常表现为一个或数个点状、圆形或卵圆形的低密度影,如果病灶特别小(小于3-5毫米),在常规的CT上可能完全看不到,这就是为什么很多腔梗患者在做头颅CT时报告“未见明显异常”。
- 病灶形态:
形态规则,边界相对清晰,呈“小洞”或“小点”状。
- 占位效应:
- 没有或极其轻微,因为病灶太小,不会对周围脑组织产生明显的挤压,所以不会导致脑中线移位或脑室受压变形,这是它与较大脑梗的一个重要区别。
- 时间窗:
- 发病24小时内,CT可能阴性(看不到),只有在梗塞发生几天后,脑组织开始坏死液化,形成软化灶时,CT才能清晰地显示为低密度影。
一句话总结腔梗CT: 大脑深部的小点状、无占位效应的低密度影。

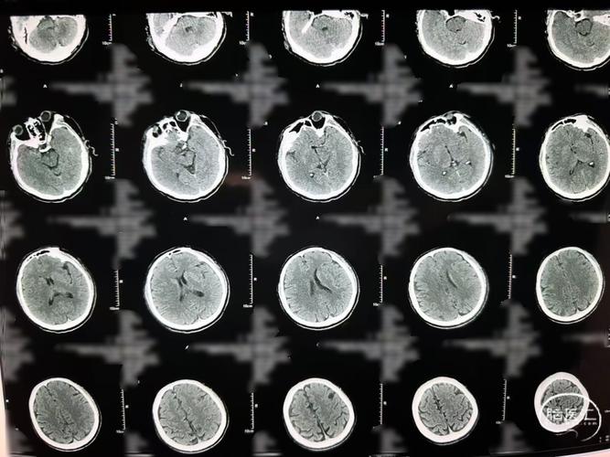
(图片来源网络,侵删)
脑梗塞(较大动脉梗塞)
这是指大脑的主要供血动脉(如大脑中动脉、颈内动脉等)被血栓堵塞,导致其供应的大片脑组织缺血坏死,梗塞灶通常较大。
CT表现特点:
- 病灶位置:
- 符合大脑主要动脉的供血区。
- 大脑中动脉供血区:最常见,累及大脑外侧、颞叶、顶叶等大片区域。
- 大脑前动脉供血区:累及额叶内侧。
- 大脑后动脉供血区:累及枕叶(视觉中枢)和颞叶下部。
- 符合大脑主要动脉的供血区。
- 病灶大小:
- 范围大,呈片状或楔形的低密度影,占据大脑的一个“扇形”区域。
- 病灶形态:
形态不规则,范围广,边界可能模糊(早期水肿时)。
- 占位效应:
- 非常明显! 大面积的脑组织水肿和坏死会像“水肿”一样挤压周围组织,导致:
- 脑沟变浅或消失。
- 脑室受压变形、变窄。
- 脑中线结构(如中线隔)向对侧移位,这是脑梗的危急信号,可能危及生命。
- 时间窗(超急性期/急性期):
- 发病6小时内,CT可能完全正常,这就是为什么对怀疑脑梗的患者要尽快做CTA(CT血管造影)或MRI-DWI来早期发现血管堵塞和缺血。
- 发病6-24小时后,CT开始显示边界模糊的低密度区。
- 发病1-2天后,低密度区变得非常清晰,同时水肿和占位效应最明显。
一句话总结较大脑梗CT: 大脑主要动脉供血区的大片状、有明显占位效应(脑中线移位等)的低密度影。

(图片来源网络,侵删)
总结与对比表格
| 特征 | 腔隙性脑梗塞 | 脑梗塞(较大动脉) |
|---|---|---|
| 病因 | 小穿支动脉阻塞 | 大主干动脉阻塞 |
| 病灶大小 | 微小 (lt;1.5cm) | 巨大 (片状、楔形) |
| 病灶位置 | 大脑深部 (基底节、丘脑、脑干) | 大脑皮层或皮层下 (符合大动脉供血区) |
| CT形态 | 点状、圆形、卵圆形 | 片状、楔形 |
| 占位效应 | 无或极轻微 | 非常明显 (脑中线移位、脑室受压) |
| 早期CT (24h内) | 多为阴性 (看不到) | 多为阴性 (超急性期),或可见早期低密度影 |
| 后期CT (数天后) | 清晰可见的小低密度灶 | 清晰可见的大片低密度灶及水肿 |
其他需要看的重要信息
除了区分腔梗和脑梗,医生看CT片还会关注:
- 有无出血: 这是最重要的鉴别诊断!如果梗塞区内有高密度(白色)影,可能是梗死后出血,治疗方案完全不同,如果一开始就是高密度影,那就是脑出血,治疗原则与脑梗完全相反。
- 脑萎缩: 看看脑沟是否增宽、脑室是否扩大,这提示患者可能存在长期的脑退行性病变。
- 其他病变: 有无肿瘤、囊肿、钙化等。
再次强调:
请将您的CT报告和原始影像交给医生。 医生会结合您的年龄、高血压、糖尿病、高血脂等病史,以及您出现的具体症状(如头晕、肢体麻木、无力、言语不清等),进行综合分析,才能给出最准确的诊断和最合适的治疗方案,不要仅凭一张图片或一段文字就自行判断,以免延误病情。
