这是一个非常好的问题,也是很多脑梗患者和家属会担心的问题,简单直接的回答是:

(图片来源网络,侵删)
曾经得过脑梗,并不会直接导致得脑肿瘤(脑血瘤是脑肿瘤的一种通俗说法)。
这两者之间确实存在一些需要厘清的联系和区别,下面我将从几个方面为您详细解释:
根本原因不同:两种完全不同的疾病
我们需要明白脑梗和脑肿瘤是两种性质完全不同的疾病。
-
脑梗塞(缺血性脑卒中):
(图片来源网络,侵删)- 本质:是“缺血”或“梗死”,也就是脑组织因为缺血缺氧而坏死。
- 病因:最常见的原因是脑血管堵塞,比如脑血管动脉粥样硬化斑块脱落形成的血栓,或者心脏的栓子脱落随血流堵塞了脑血管,可以把它想象成河流(血管)被堵住了,下游的土地(脑组织)就干枯了。
- 病变部位:病变在血管,导致的是脑组织的缺血性坏死。
-
脑肿瘤(脑血瘤):
- 本质:是异常细胞的异常增生,形成的新生物(也就是“瘤”)。
- 病因:是脑内的细胞(可以是神经细胞、胶质细胞、膜细胞等)发生了基因突变,导致其不受控制地分裂生长,可以把它想象成土地上长出了不该有的杂草(肿瘤细胞),侵占并破坏了正常的土地(脑组织)。
- 病变部位:病变在细胞,形成的是占位性病变。
一个是“血管堵塞”,一个是“细胞疯长”,一个是“缺”,一个是“长”,两者的发病机制和病理基础完全不同,脑梗本身不会“变成”脑肿瘤。
为什么会产生这种担忧?——可能存在的间接联系
虽然脑梗不会直接导致脑肿瘤,但一些情况可能会让患者或家属产生混淆或担忧:
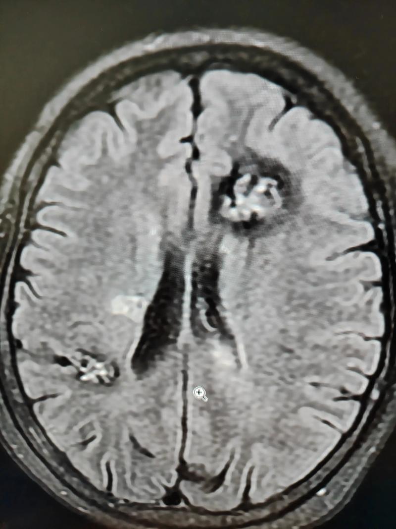
a. 影像学检查的“假象”
这是最常见的原因,脑梗和脑肿瘤在CT或MRI(磁共振)影像上有时会表现相似,都表现为“脑内占位性病变”或“异常信号”。

(图片来源网络,侵删)
- 急性期脑梗:在发病后的最初几天,由于脑组织急性水肿,影像上可能看起来像一个肿瘤,周围有明显的占位效应,医生称之为“假性肿瘤”。
- 脑梗后的出血性转化:有些脑梗患者,特别是大面积脑梗,在治疗过程中梗死区域可能会因为血流再通等原因发生出血,形成“出血性脑梗”,这在影像上也会表现为混杂信号的占位性病变,容易与肿瘤内出血混淆。
- 肿瘤性脑梗:这是一种特殊情况。脑肿瘤本身会引起血管堵塞,从而导致脑梗塞,肿瘤生长压迫血管,或者肿瘤细胞进入血管形成瘤栓,这种情况是“先有肿瘤,后有梗塞”,而不是“先有梗塞,后有肿瘤”。
当影像学检查发现一个“可疑病灶”时,医生需要结合病史、发病速度、影像特征变化,甚至进行活检来最终判断,究竟是脑梗的演变、出血转化,还是一个真正的脑肿瘤。
b. 风险因素的重叠
有一些危险因素既是脑梗的高危因素,也可能与某些肿瘤的发生有关联。
- 高龄:随着年龄增长,无论是动脉粥样硬化(导致脑梗)还是细胞基因突变累积(导致肿瘤)的风险都会增加,高龄患者可能会同时出现这两种病,但这不代表因果关系。
- 某些遗传性疾病:比如一些遗传性肿瘤综合征(如神经纤维瘤病),患者既容易发生神经系统肿瘤,也可能存在血管发育异常,增加脑梗风险,但这属于非常罕见的特殊情况。
脑梗的治疗会增加脑肿瘤风险吗?
这是一个大家非常关心的问题。
- 溶栓治疗:目前主流的溶栓药物(如阿替普酶)是人体内存在的纤溶酶原激活剂,作用是溶解血栓,恢复血流,没有证据表明它会导致细胞癌变,增加肿瘤风险。
- 抗血小板/抗凝药物:阿司匹林、氯吡格雷、华法林等药物,作用是抑制血小板聚集或防止凝血,从而预防血栓复发,它们的作用靶点是凝血系统,与细胞的生长和分裂无关,不会诱发肿瘤。
- 放疗:这是一个需要特别提及的情况,如果脑梗患者因为其他疾病(如头颈部癌症)接受了脑部放疗,那么放疗本身确实会增加继发性脑肿瘤的风险,但这是放射治疗带来的远期并发症,与脑梗这个疾病本身无关。
总结与建议
- 核心结论:曾经得过脑梗,不会直接导致得脑肿瘤。 两者是病因完全不同的两种疾病。
- 不要混淆:脑梗是“血管堵塞”,脑肿瘤是“细胞增生”,一个是“缺血坏死”,一个是“占位生长”。
- 影像鉴别:影像学上有时会表现相似,需要专业医生仔细鉴别,不要因为看到报告上的“占位”或“异常信号”就过度恐慌,它很可能是脑梗本身的表现或并发症。
- 科学对待:脑梗后的规范治疗(如溶栓、抗血小板、康复)是为了预防复发和改善预后,这些治疗本身不会增加脑肿瘤的风险。
- 定期复查:对于脑梗患者,最重要的是遵医嘱进行二级预防(控制血压、血糖、血脂,戒烟限酒,规律服药),并定期进行复查,复查的目的主要是监测血管状况和评估脑梗恢复情况,同时也能及时发现其他新发问题。
如果您或家人在脑梗后,出现新的、与之前病情不符的症状(如短期内进行性加重的头痛、癫痫、肢体无力麻木、性格改变等),应及时就医,让医生进行专业的评估和诊断,以排除其他疾病的可能性。
