核心概念:它们是什么?
要理解一个基本背景:大脑是一个耗氧量极高的器官,它的血液供应必须非常充足和稳定,任何原因导致大脑局部区域的血液供应中断,都会造成脑组织缺血、缺氧,最终导致脑细胞(神经元)死亡。

“缺血灶”和“脑腔梗”都是脑组织曾经缺血坏死的“遗迹”或“疤痕”,它们在核磁共振(MRI)上表现为信号异常的区域,是医生判断脑血管健康状况的重要依据。
缺血灶
什么是缺血灶?
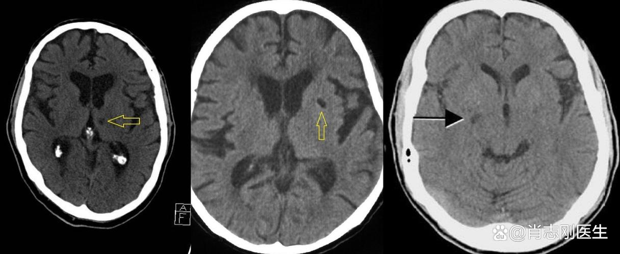
缺血灶是一个比较宽泛的术语,可以把它理解为大脑某个区域曾经发生过缺血事件,并留下了一个“印记”,这个印记在影像学上表现为一个边界不清、形态不规则的异常信号区。
缺血灶的特点:
- 范围:大小不一,可以很小,也可以比较大。
- 病因:原因多种多样,可能是短暂性脑缺血(TIA,俗称“小中风”,症状在24小时内恢复,但脑部可能已经留下小病灶),也可能是完全性脑梗死(症状持续不恢复)。
- 形态:通常形态不规则,与受累血管的供血区不完全吻合。
- 严重程度:可以理解为缺血损伤的“早期”或“不确定类型”的描述,它可能最终演变成一个更明确的脑梗塞灶,也可能只是一个轻微的、不影响功能的微小损伤。
通俗比喻:
想象一下一块土地(脑组织)因为暂时缺水(缺血),导致一部分庄稼(脑细胞)枯萎了,这块枯萎的土地区域,就是一个“缺血灶”,医生看到这片土地变干了,但还不能完全确定是缺水一小时造成的,还是缺水一天造成的,所以先称之为“缺血灶”。
腔隙性脑梗塞
什么是腔隙性脑梗塞?
腔隙性脑梗塞是缺血灶中一个特定类型,有非常明确的定义和特征。

- 病因:它通常由大脑深部穿通动脉的微小病变(如高血压、糖尿病引起的动脉硬化、玻璃样变)堵塞所致。
- 位置:发生在大脑半球深部、脑干等部位,这些区域的血管比较细长,被称为“穿通动脉”或“终末动脉”。
- 大小:病灶非常小,直径通常在 5毫米到20毫米 之间。
- 形态:病灶形态相对规则,呈圆形或卵圆形,像个小“豆子”或“小坑”。
通俗比喻:
还是那块土地,这次问题出在了给这块土地供水的一根非常细小的水管(穿通动脉)堵住了,由于水管很细,影响的范围也很小,只形成了一个小小的、圆形的干涸区域(腔隙性梗塞)。
两者的关系:从属与特化
最核心的关系是:腔隙性脑梗塞是缺血灶的一种特殊类型。
可以这样理解:
- 缺血灶 是一个“大家族”,泛指所有因缺血留下的脑损伤痕迹。
- 腔隙性脑梗塞 是这个大家族里的一个“特定分支”,它有自己独特的病因、位置和大小。
打个比方:

- “水果” 就像 “缺血灶”。
- “苹果” 就像 “腔隙性脑梗塞”。
- “水果”里还有“香蕉”、“橙子”等其他类型,就像缺血灶里还有其他类型的脑梗塞(如大动脉粥样硬化性梗塞、心源性栓塞等)。
当你的报告上同时出现“缺血灶”和“脑腔梗”时,医生通常是在用“缺血灶”这个广义的词来描述你脑部的整体情况,而“脑腔梗”则是在其中指出了那些符合特定标准的、微小的梗塞病灶。
为什么会出现这些病灶?常见原因
这些病灶的出现,通常不是偶然的,是身体长期处于不健康状态的结果,主要与以下因素密切相关:
- 高血压:首要元凶,长期高血压会冲击、损伤细小的血管壁,导致动脉硬化、变性,最终堵塞。
- 糖尿病:高血糖会损害血管内皮,加速动脉硬化进程。
- 高脂血症:特别是“坏胆固醇”(LDL)升高,会导致血管内形成动脉粥样硬化斑块,斑块脱落或斑块增长堵塞血管。
- 吸烟:尼古丁会损伤血管,升高血压,加速动脉硬化。
- 高龄:随着年龄增长,血管自然老化,弹性变差。
- 心房颤动(房颤):心脏不规则跳动时,容易在心房形成血栓,血栓脱落随血流进入大脑,堵塞血管(这种通常引起较大面积的梗塞,但也可能引起小栓塞)。
发现后该怎么办?关键点
看到报告后不要过度恐慌,因为这些病灶在很多老年人中都非常常见,但它们确实是一个重要的“健康警报”。
最重要的一点:看医生!
请务必携带你的核磁报告,去看神经内科医生,医生会结合你的:
- 临床症状(有无头晕、肢体麻木、无力、言语不清等)
- 体格检查(神经系统查体)
- 其他危险因素(血压、血糖、血脂水平)
- 其他检查结果(如颈动脉超声、心脏超声等) 来综合判断这个发现对你意味着什么。
针对病因治疗(二级预防)
治疗的核心是预防未来发生更严重的脑卒中(中风),医生会根据你的具体情况,给出以下建议:
- 严格控制血压:这是重中之重,通常目标值是 < 140/90 mmHg,对于能耐受的患者可能更低。
- 控制血糖:糖尿病患者需将糖化血红蛋白控制在目标范围内。
- 调脂治疗:他汀类药物是常用的,不仅降血脂,还有稳定斑块的作用。
- 抗血小板治疗:如果医生评估后认为你存在较高的卒中风险,可能会建议你服用阿司匹林或氯吡格雷等药物来预防血栓形成。切记:此类药物需遵医嘱服用,切勿自行购买服用。
生活方式干预
这是所有治疗的基础,效果不亚于药物:
- 健康饮食:低盐、低脂、低糖,多吃蔬菜水果、全谷物,适量摄入优质蛋白(如鱼、禽、豆制品)。
- 规律运动:每周至少150分钟的中等强度有氧运动,如快走、慢跑、游泳等。
- 戒烟限酒:必须戒烟,严格限制酒精摄入。
- 控制体重:将体重指数控制在24以下。
- 保持良好心态:避免长期精神紧张、焦虑。
| 特征 | 缺血灶 | 腔隙性脑梗塞 |
|---|---|---|
| 定义 | 广义术语,指脑组织缺血坏死的遗迹 | 缺血灶的特定类型,由深部穿通动脉阻塞引起 |
| 范围/大小 | 不定,可大可小 | 很小,通常1.5-20mm |
| 形态 | 不规则 | 相对规则,圆形或卵圆形 |
| 位置 | 脑内任何部位 | 大脑深部、脑干等 |
| 关系 | 腔隙性脑梗塞是缺血灶的一种 | 是缺血灶的子集 |
最后强调: 脑核磁发现的“缺血灶”和“脑腔梗”是大脑发出的求救信号,提示你的脑血管健康状况不佳,未来发生中风的风险相对较高。
积极面对,科学管理,把风险降到最低! 请务必咨询专业医生,制定个体化的预防和治疗方案。
