核心概念解释
我们拆解这个名称,理解它意味着什么:

(图片来源网络,侵删)
-
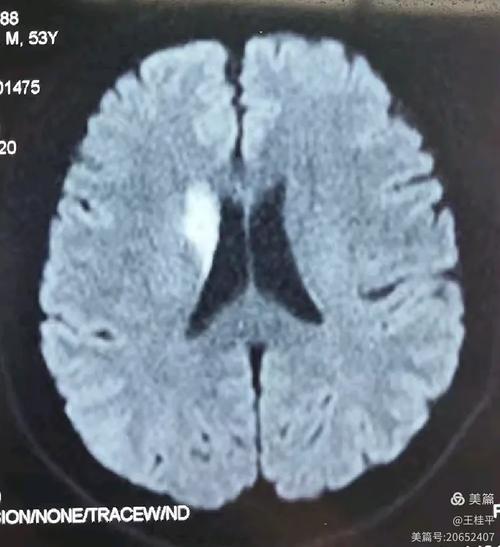
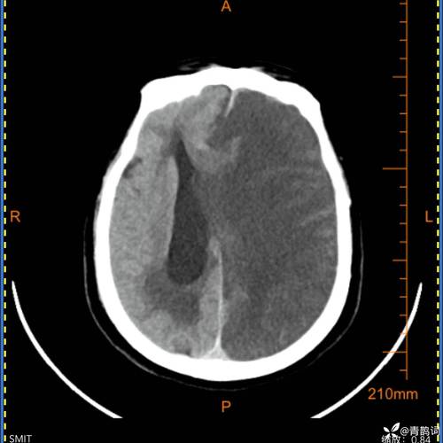
脑梗 (Stroke / Infarction):通常指“缺血性脑卒中”,也就是我们常说的“中风”的一种,它的本质是大脑的某一部分血管堵塞了,导致该区域的脑组织因为缺血缺氧而坏死、死亡,就像一块田地因为河流断流而干涸一样。
-
右侧脑动脉:这指明了堵塞的位置,大脑的血液供应来自左右两侧的颈内动脉和椎基底动脉系统。“右侧脑动脉”通常特指右侧大脑中动脉,它是供应大脑半球最主要、最容易发生堵塞的血管,右侧大脑主要负责左侧身体的运动、感觉,以及部分语言、空间认知等功能。
-
大面积:这是最关键、也是最严重的一点,它意味着堵塞的血管主干非常粗大,导致其供应的整个脑叶(如整个额叶、颞叶、顶叶,或它们的组合)都发生了梗塞,梗死的脑组织范围很广,通常梗塞体积会超过50-80毫升,甚至更多。
为什么会发生? (病因)
右侧大脑中动脉大面积梗塞的常见原因包括:

(图片来源网络,侵删)
- 心源性栓塞:最常见的原因,心脏(如心房颤动、心肌梗死、心脏瓣膜病)产生的血栓脱落后,随血流进入大脑,堵塞了相对较细的大脑中动脉,这种梗塞通常发病急骤,症状严重。
- 大动脉粥样硬化:颈内动脉或大脑中动脉本身由于动脉粥样硬化,形成了巨大的斑块,斑块破裂或表面血栓形成,导致血管急性闭塞。
- 其他原因:如血管炎、夹层、凝血功能障碍等,但相对少见。
主要症状和体征 (会有什么表现?)
由于梗塞面积巨大,对大脑功能的影响是灾难性的,症状通常在几分钟到几小时内达到高峰,非常典型和严重:
严重的神经功能缺损:
- 偏瘫:左侧身体完全瘫痪,无法活动,这是最核心的症状之一。
- 偏身感觉障碍:左侧身体对疼痛、温度、触觉等感觉完全丧失或减退。
- 偏盲:左侧视野缺损,即双眼向右看时,左侧一半的世界是“黑”的。
- 意识障碍:这是大面积脑梗最危险的表现,患者可能出现嗜睡、昏睡、甚至昏迷,因为大面积脑水肿会压迫脑干等生命中枢,影响呼吸和心跳。
- 颅高压症状:剧烈头痛、喷射性呕吐、血压升高等,这是因为梗死的脑组织肿胀,导致颅内压力急剧增高。
语言功能障碍 (如果优势半球受损):
- 对于绝大多数右利手者(以及大部分左利手者),语言中枢位于左侧大脑,右侧大脑梗塞通常不影响语言功能,但如果梗塞范围极大,跨越中线影响到左侧语言区,也可能出现失语。
其他可能的症状:

(图片来源网络,侵删)
- 眼球向病灶侧凝视:患者的双眼会不由自主地向右侧(病灶侧)转动。
- 认知和情感障碍:可能出现记忆力、计算力严重下降,或出现焦虑、抑郁等情绪问题。
紧急处理和治疗方案 (怎么办?)
这是一个“时间就是大脑”的急症,每一分钟都至关重要。
紧急救治 (“黄金4.5小时”甚至更长)
- 立即拨打急救电话 (120):绝对不能自行驾车或等待,必须由专业医疗人员迅速转运。
- 溶栓治疗:在发病后 5小时 内(部分患者可延长至6小时),如果符合条件,应尽快静脉注射溶栓药物(如阿替普酶),溶解血栓,是恢复血流最直接的方法,但大面积脑梗溶栓风险较高(出血转化风险大),需医生严格评估。
- 机械取栓:这是目前治疗大血管闭塞(如大脑中动脉)的革命性技术,通过介入手术,从大腿根部的血管插入导管,到达堵塞的脑血管处,用支架或网篮将血栓直接取出。时间窗相对较长,可达6-24小时,但越早越好,这是挽救大面积脑梗患者生命和功能的关键手段。
后续住院治疗 (急性期)
- 生命支持:对于昏迷或呼吸不畅的患者,可能需要进入ICU,进行气管插管、呼吸机辅助呼吸,严密监护生命体征。
- 控制颅高压:使用高渗性脱水剂(如甘露醇)来减轻脑水肿,防止脑疝形成(这是致死的主要原因)。
- 神经保护:使用一些药物来保护缺血半暗带(濒临死亡的脑组织)。
- 并发症防治:
- 肺部感染:最常见的并发症,因吞咽困难和卧床引起。
- 深静脉血栓:因偏瘫、长期卧床,下肢易形成血栓,脱落可致命。
- 应激性溃疡、心功能不全等。
- 病因治疗:明确病因后,进行针对性治疗,如抗凝(治疗房颤)、强化他汀(治疗动脉硬化)等。
康复治疗 (漫长的恢复之路)
这是决定患者未来生活质量最关键的一环,需要尽早介入。
- 物理治疗:针对偏瘫,进行肌力训练、平衡训练、步态训练,帮助患者重新站立和行走。
- 作业治疗:训练患者进行日常生活活动,如穿衣、吃饭、洗漱等,恢复生活自理能力。
- 言语治疗:如果出现失语或吞咽困难,进行专业的语言和吞咽功能训练。
- 心理康复:患者和家属都可能经历焦虑、抑郁,需要心理疏导和支持。
- 中医康复:针灸、推拿等可以作为辅助手段。
预后和挑战
右侧大脑中动脉大面积脑梗的预后通常较差,面临巨大挑战:
- 高死亡率:急性期死亡率很高,主要死于脑疝、肺部感染、多器官功能衰竭等并发症。
- 高致残率:即使存活下来,也常常留下严重的后遗症,如左侧完全瘫痪、长期卧床、生活完全不能自理,患者可能失去工作能力,需要家人长期照料。
- 漫长的康复:康复过程可能持续数月甚至数年,需要极大的耐心、毅力和经济支持。
- 复发风险高:需要长期进行二级预防,严格控制危险因素。
给家属的建议
- 保持冷静,争分夺秒:立即呼叫120,清晰说明患者症状,为抢救赢得时间。
- 相信医生,积极配合:在急性期,完全信任并配合医疗团队的决策,特别是溶栓和取栓这种高风险但可能带来巨大获益的治疗。
- 做好长期战斗的准备:将治疗重点从“救命”转向“功能恢复”,尽早开始并坚持科学的康复训练。
- 关注心理:关心患者的心理状态,多给予鼓励和支持,家属自身也要有心理准备,必要时寻求心理咨询。
- 预防复发:出院后,务必遵医嘱服药(如抗血小板/抗凝药、他汀类药物),严格控制血压、血糖、血脂,戒烟限酒,健康饮食。
右侧脑动脉大面积脑梗是神经科的急危重症,病情凶险,死亡率、致残率极高,治疗的关键在于“快速开通血管”,后续的“系统康复”决定患者的生活质量,这是一个对医学、患者和家属的巨大考验。
