非常理解您此刻的担忧和焦虑,65岁同时出现头疼、脑梗和脑胶质瘤,这确实是一个非常复杂和严重的情况,需要家属和患者本人以冷静、科学的态度来面对。

(图片来源网络,侵删)
下面我将为您详细解释这三个病症之间的关系、可能的原因、以及最重要的——接下来应该怎么办。
理解这三个病症及其关系
我们需要分别理解这三个疾病,以及它们之间可能存在的联系。
脑梗塞 (Stroke / Ischemic Stroke)
- 是什么:俗称“中风”,是由于脑部血管堵塞,导致局部脑组织缺血、缺氧而坏死,它是一种血管性疾病。
- 主要症状:突发性的,通常是单侧的肢体无力或麻木、口角歪斜、言语不清、视力模糊、行走困难等。头痛不一定是脑梗的典型首发症状,但如果梗塞面积较大或影响到特定区域,也可能引起头痛。
- 病因:通常与高血压、高血脂、糖尿病、心脏病、动脉粥样硬化等有关。
脑胶质瘤 (Brain Glioma)
- 是什么:是一种原发性脑肿瘤,来源于脑内的胶质细胞,它是颅内最常见的恶性肿瘤之一,具有浸润性生长、容易复发的特点。
- 主要症状:症状通常是逐渐加重的,因为肿瘤会缓慢压迫和侵犯脑组织,最常见的症状就是慢性、持续性的头痛(常在清晨或夜间加重,伴有恶心呕吐)、癫痫发作、性格或认知改变、肢体无力或麻木、视力或语言障碍等。
- 病因:具体病因尚不完全清楚,可能与遗传、环境、电离辐射等有关。
头痛 (Headache)
- 是什么:这是一个症状,而不是一种独立的疾病,它可以由多种原因引起。
- 在本案例中的可能性:
- 由脑胶质瘤引起:这是最需要警惕的原因,肿瘤导致颅内压增高,从而引起剧烈头痛。
- 由脑梗塞引起:如果脑梗塞面积大,引起脑水肿,也可能导致颅内压增高而头痛。
- 两者共同作用:肿瘤本身占位效应加上脑梗塞后的水肿,会使颅内压急剧升高,头痛会非常剧烈和危险。
- 其他原因:如高血压、感染等。
三者之间的关系分析:
这是一个非常棘手的临床情况,最核心的问题是:脑梗和胶质瘤,谁是因,谁是果?或者它们是独立发生的?
- 独立并存(最常见):对于一个65岁的老年人,同时存在脑动脉粥样硬化(导致脑梗)和原发性脑肿瘤(胶质瘤),是完全有可能的,它们是两种不同性质的疾病,恰好同时发生。
- 肿瘤相关:虽然罕见,但某些肿瘤或其治疗(如高凝状态)可能会增加血栓形成的风险,从而诱发脑梗,或者,肿瘤压迫血管导致血流不畅,也可能引发类似梗塞的情况。
- 治疗相关:如果患者正在接受胶质瘤的治疗(如某些化疗药物、激素),也可能增加血栓风险。
无论如何,当前的首要任务是明确诊断和评估病情的严重程度。

(图片来源网络,侵删)
现在应该怎么办?(紧急行动指南)
面对这种情况,家属和患者必须保持冷静,立即采取以下步骤:
第一步:立即就医,神经外科/神经内科是首选
- 如果是在发病初期(如突发剧烈头痛、呕吐、意识不清、肢体无力):请立即拨打120急救电话或直接前往最近医院的急诊科,时间就是生命,尤其是在脑梗的“黄金救治时间窗”(发病4.5小时内)内,溶栓或取栓治疗至关重要。
- 如果是慢性头痛,近期加重,并已确诊脑梗和胶质瘤:应尽快预约神经外科或神经内科的专家门诊,神经外科在处理脑肿瘤方面更有经验,而神经内科在处理脑血管疾病方面更专业,大型综合医院的神经科或神经肿瘤多学科会诊中心是最佳选择。
第二步:完善检查,明确诊断
医生会根据情况安排一系列检查来全面评估病情:
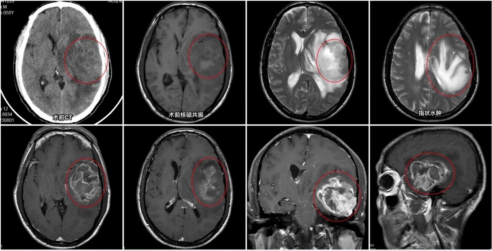
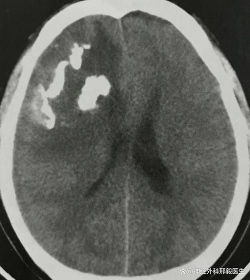
- 头颅CT(计算机断层扫描):最快、最基础的检查,可以快速判断是否有脑出血、大面积脑梗塞、肿瘤占位效应和颅骨骨折,但对于小的胶质瘤和早期脑梗,CT可能不敏感。
- 头颅MRI(磁共振成像):这是诊断脑部疾病的金标准,MRI能非常清晰地显示脑肿瘤的位置、大小、与周围脑组织的关系,以及脑梗塞的范围和时期,对于怀疑胶质瘤的患者,MRI是必须做的。
- 磁共振血管成像:可以评估脑血管的情况,看看是否有血管狭窄、闭塞或畸形。
- 病理活检(金标准):如果高度怀疑是胶质瘤,最终确诊需要通过手术获取肿瘤组织,进行病理学检查,明确肿瘤的级别(如I-IV级)和类型,这直接决定了后续的治疗方案。
第三步:多学科会诊(MDT)
对于如此复杂的病例,强烈建议进行多学科会诊,这意味着神经外科、神经内科、肿瘤科、放疗科、影像科、病理科等多个领域的专家会坐在一起,共同讨论,为患者制定一个个体化、最优化的综合治疗方案,这是目前国际上处理复杂脑肿瘤的最佳模式。
治疗策略的思考
治疗方案将是极具挑战性的,需要在治疗脑肿瘤、处理脑梗塞和患者整体状况之间找到最佳平衡点。

(图片来源网络,侵删)
-
首要任务:控制颅内压,缓解症状
- 无论是肿瘤还是脑梗,导致颅内压增高都是最危险的,医生会立即使用脱水降颅压药物(如甘露醇)来减轻脑水肿,缓解剧烈头痛,防止脑疝形成。
-
脑胶质瘤的治疗
- 手术切除:是首选和最有效的治疗方法,目的是在最大程度保护正常脑功能的前提下,尽可能多地切除肿瘤,明确病理诊断,为后续放化疗创造条件,但手术本身有风险,尤其是在患者已经有脑梗的情况下,需要极其精细的评估。
- 放射治疗:手术后通常需要进行放疗,以杀死残留的肿瘤细胞。
- 化学治疗:使用化疗药物(如替莫唑胺)来抑制肿瘤生长。
- 靶向治疗/免疫治疗:针对特定基因突变的新型疗法,正在临床试验中。
-
脑梗塞的治疗与预防
- 急性期:如果仍在时间窗内,可能会考虑溶栓或取栓。
- 稳定期:重点是二级预防,包括:
- 严格控制“三高”:血压、血糖、血脂必须控制在理想范围。
- 抗血小板或抗凝治疗:使用阿司匹林、氯吡格雷等药物防止血栓形成,但这对于有脑胶质瘤的患者来说是一个巨大的矛盾,因为这些药物会增加出血风险,而脑瘤手术和放化疗也可能导致出血,如何选择,需要神经内科和肿瘤科医生共同权衡。
- 生活方式干预:健康饮食、适度运动、戒烟限酒。
给家属和患者的建议
- 保持冷静,寻求专业帮助:不要慌乱,更不要轻信偏方,相信现代医学,找到最专业的医疗团队。
- 详细记录病情:整理好患者的所有病历、影像资料(CT/MRI片子和报告)、用药史等,这对医生快速了解病情至关重要。
- 做好长期战斗的准备:胶质瘤的治疗是一个漫长而艰苦的过程,脑梗也需要长期管理,家属需要有足够的耐心和毅力,给予患者情感和生活上的支持。
- 积极沟通,了解所有选项:与医生进行充分沟通,了解病情的严重程度、所有可能的治疗方案、各自的利弊和预后,不要害怕提问,“肿瘤的级别是?”“手术风险有多大?”“如果不手术会怎样?”“两种病怎么优先处理?”
- 关注生活质量:在积极治疗的同时,也要关注患者的生存质量,在制定治疗方案时,有时“活得更好”比“活得更长”同样重要。
65岁患者同时出现头疼、脑梗和脑胶质瘤,病情危重且复杂。当务之急是立即到大型医院的神经科或神经外科就诊,通过MRI等检查明确诊断,并请求多学科会诊,制定一个兼顾肿瘤、脑血管和患者全身状况的综合治疗方案。 这是一场艰难的战斗,但选择正确的医疗团队和科学的治疗策略,是争取最好结果的关键,请务必保持冷静,科学应对。
