分别解释这三个术语
腔梗 (Lacunar Infarction, 腔隙性脑梗死)
- 什么是梗? “梗”指的是梗死,即脑组织因为缺血缺氧而发生的坏死,可以理解为脑里的“小中风”或“微型中风”。
- 什么是腔隙性? 这种梗死灶非常小,通常直径在1.5-3毫米之间,它发生在大脑深部的一些特殊小动脉供血的区域,这些小动脉像树枝的末梢,一旦堵塞,影响的范围就很小,形成一个“腔隙”样的病灶。
- 原因是什么? 最主要的原因是高血压,长期高血压会损伤这些小动脉的血管壁,导致血管壁增厚、变脆,形成小动脉瘤(脂质玻璃样变性),这些小血管会完全堵塞,导致其供应的一小块脑组织缺血坏死。
缺血灶 (Ischemic Foci)
- 什么是缺血? “缺血”指的是局部组织血液供应不足。
- 什么是缺血灶? 指的是大脑中存在的一个或多个由于血液供应不足而导致脑细胞功能受损或坏死的区域。
- 与“腔梗”的关系:
- 腔梗是缺血灶的一种,腔梗是已经发生了坏死的、陈旧的缺血灶,在影像上表现为一个明确的“小洞”。
- 缺血灶的范围更广,除了陈旧的腔梗,缺血灶也包括一些尚未完全坏死、处于缺血状态的区域,或者是一些非常陈旧、已经形成小疤痕的病灶,医生在报告上有时会用“缺血灶”这个更宽泛的词来概括。
老年脑 (Senile Brain / Age-Related Brain Changes)
- 这不是一个疾病诊断,而是一个描述性的术语,指大脑随着年龄增长出现的自然退行性变化。
- 主要表现:
- 脑萎缩:大脑体积会自然地、缓慢地缩小,脑沟会变深,脑室会轻度扩大。
- 白质变性:大脑内部负责连接不同神经纤维的“白质”会出现一些轻微的缺血性改变,在影像上表现为一些片状的、边界不清的信号异常,这和脑小血管病有关。
- 与“腔梗”的关系: “老年脑”是“腔梗”和“缺血灶”发生的土壤,随着年龄增长,血管会自然老化,加上高血压、糖尿病等危险因素的长期作用,使得老年人更容易出现脑小血管的病变,从而产生腔梗和缺血灶,这三者常常同时出现,互为因果。
总结一下这三者的关系
您可以这样理解:

(图片来源网络,侵删)
“老年脑”是基础:随着年龄增长,大脑和血管开始自然老化。 “高血压、糖尿病”等是推手:这些危险因素加速了血管的老化和损伤。 “缺血灶”是过程:血管出现问题,导致部分大脑区域供血不足,形成了缺血灶。 “腔梗”是结果之一:当缺血严重到导致一小块脑组织完全坏死时,就形成了影像上可见的“腔梗”。
“脑内腔梗缺血灶老年脑”这个报告,综合起来描述的是:一位老年人,由于年龄增长和可能存在的血管危险因素,其大脑已经出现了一些与小血管病变相关的陈旧性损伤(腔梗)和缺血性改变(缺血灶),同时伴有大脑自然的衰老迹象。
发现这些病灶,我该怎么办?(关键问题)
看到这样的报告,很多人会感到紧张。这通常是一个预警信号,而不是一个判决,积极应对可以有效预防更严重的问题。
不要惊慌,但要重视
- 这些病灶在老年人中非常普遍,尤其是60岁以上的人群,很多人没有任何症状,是在体检或检查其他疾病时偶然发现的。
- 它的存在表明,您的大脑血管健康状况不佳,未来发生更严重中风(如大面积脑梗死)的风险比没有这些病灶的人要高。
积极就医,明确原因
- 看哪个科? 建议挂神经内科的号。
- 医生会做什么?
- 详细问诊:询问您的病史、是否有“三高”(高血压、高血脂、高血糖)、吸烟、饮酒、饮食习惯等。
- 神经系统检查:检查您的肌力、感觉、反射等,看是否有病灶导致了轻微的神经功能缺损。
- 评估风险:医生会根据您的具体情况,评估您未来发生中风的风险。
核心治疗:控制危险因素(这是最重要的!)
治疗的关键不是“消除”已经存在的病灶(因为它们是陈旧的疤痕),而是阻止新的病灶产生,预防中风。

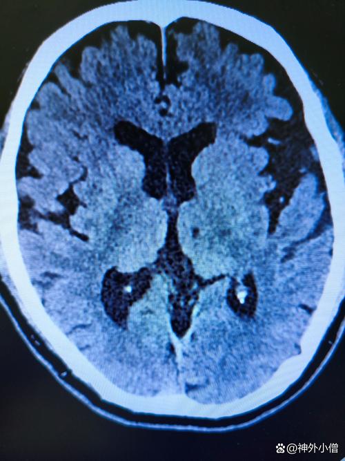
(图片来源网络,侵删)
- 严格控制血压(重中之重!):
- 目标:通常建议将血压控制在140/90 mmHg以下,如果能耐受,最好控制在130/80 mmHg以下。
- 方法:坚持服用医生开的降压药,不能随意停药或减量,同时要定期监测血压。
- 管理血糖:
如果有糖尿病,一定要严格控制血糖,糖化血红蛋白(HbA1c)应达标。
- 调节血脂:
如果有高血脂,尤其是“坏胆固醇”(LDL-C)升高,需要服用他汀类药物来降低。
- 改变生活方式:
- 健康饮食:低盐、低脂、低糖,多吃蔬菜水果、全谷物和优质蛋白(如鱼、禽、豆类)。
- 规律运动:每周至少进行150分钟的中等强度有氧运动,如快走、慢跑、游泳等。
- 戒烟限酒:吸烟和过量饮酒是血管的“毒药”,必须戒除。
- 保持健康体重。
- 保持良好心态:避免长期焦虑、抑郁。
定期复查
- 遵医嘱定期复查,监测血压、血糖、血脂等指标。
- 医生可能会建议在1-2年后复查头颅MRI,以观察是否有新的病灶出现。
“脑内腔梗缺血灶老年脑”是中老年人脑部影像的常见表现,它反映了大脑小血管的慢性病变,虽然无法逆转已有的病灶,但它是一个可以干预和预防的信号,通过积极就医、严格控制“三高”和改善生活方式,可以极大地降低未来发生严重中风的风险,保护好您的大脑健康。

(图片来源网络,侵删)
