这是一个非常重要且常见的问题,答案是:能,而且脑核磁共振(MRI)是诊断和评估脑梗塞最重要、最常用的影像学检查方法之一。

(图片来源网络,侵删)
下面为您详细解释为什么、以及如何做。
核心结论:脑梗塞患者不仅可以做,而且非常需要做脑核磁共振。
为什么脑核磁共振对脑梗塞如此重要?
相比于其他影像学检查(如CT),MRI在诊断脑梗塞方面具有无与伦比的优势:
-
极高的敏感性,尤其对早期梗塞:
- CT检查: 在脑梗塞发生的最初6小时内,CT扫描通常完全正常,因为此时脑组织的水肿和细胞坏死还不明显,这会延误“黄金治疗时间窗”。
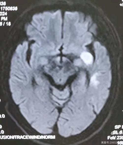
- MRI检查: 特别是弥散加权成像(DWI)序列,能在梗塞发生的几分钟到一小时内就发现异常信号,是目前最早、最敏感的脑梗塞诊断方法,这为溶栓、取栓等紧急治疗提供了关键依据。
-
能清晰显示梗塞的范围和位置:
(图片来源网络,侵删)MRI可以精确地显示梗塞灶的大小、形状和具体位置,帮助医生判断是哪个血管堵塞,以及脑组织受损的程度,这对于制定治疗方案和评估预后至关重要。
-
能区分新旧梗塞:
- 通过不同的MRI序列(如DWI、FLAIR、T1、T2加权),医生可以清晰地分辨出哪些是新发的梗塞(急性期),哪些是陈旧的梗塞(软化灶),这对于评估病情进展、寻找复发原因非常有帮助。
-
有助于明确病因:
- 磁共振血管成像(MRA)或CT血管成像(CTA)可以直观地看到颅内外的血管是否存在狭窄、闭塞、动脉瘤或夹层等,帮助医生找到导致梗塞的根本原因。
- 磁共振灌注成像(PWI)可以评估脑组织的血流灌注情况,区分“缺血半暗带”(即有救活的脑组织)和“核心梗塞区”,为是否进行介入取栓提供决策支持。
做脑核磁共振需要注意什么?
虽然MRI对脑梗塞诊断价值巨大,但在检查前和检查中也有一些注意事项:

(图片来源网络,侵删)
绝对禁忌症(不能做的情况):
- 心脏起搏器:绝大多数心脏起搏器都是MRI的禁忌症,强磁场会使其严重损坏或导致生命危险。
- 人工瓣膜:部分旧式的人工金属瓣膜是禁忌症。
- 某些神经刺激器:如脑深部刺激器(DBS)、脊髓刺激器等。
- 体内有特定类型的动脉瘤夹或血管夹:特别是非钛合金的,在强磁场下有移位或脱落的风险。
- 眼内有金属异物:未取出的金属异物在强磁场下可能移动,损伤眼球。
相对禁忌症(需要谨慎评估的情况):
- 怀孕:尤其是孕早期,除非是紧急情况,否则一般会尽量避免,医生会权衡利弊。
- 体内有金属植入物:如人工关节、钢板、螺钉等,大多数现代骨科植入物(如钛合金)是MRI兼容的,但需要提前告知医生,由技术人员确认。
- 幽闭恐惧症:MRI的扫描仓空间狭小,噪音大,可能会引起患者的恐慌,有幽闭恐惧症的患者可以提前告知医生,可能会使用镇静药物或选择开放式MRI。
- 肾功能严重不全:需要使用造影剂(钆剂)时,需特别警惕,因为钆剂在极少数情况下会引发一种罕见但严重的肾病(肾源性系统性纤维化)。
检查前的准备:
- 去除所有金属物品:包括手机、钥匙、手表、首饰、假牙、发卡、文胸的金属搭扣等。
- 告知病史:务必向医生和技师详细说明您的所有病史、手术史、过敏史,特别是体内是否有任何金属植入物或电子设备。
- 保持静止:检查过程中需要保持身体绝对静止,否则会影响图像质量,对于不配合的患者(如意识不清、躁动的患者),可能需要使用镇静药物或进行CT检查。
对于脑梗塞患者,脑核磁共振是安全、有效且必不可少的检查。
- 它能早期发现梗塞,为赢得宝贵的治疗时间。
- 它能精确评估病情,指导医生制定最佳治疗方案。
- 它能帮助查找病因,预防复发。
如果您或您的家人怀疑或确诊为脑梗塞,医生通常会第一时间安排进行脑MRI检查,以获取最全面、最准确的信息,请放心,在专业医生的评估和指导下,MRI是一项非常安全的检查。
