脑CT在脑梗死急性期的诊断价值有限,但对于排除其他类似症状的疾病(如脑出血)至关重要。

(图片来源网络,侵删)
下面我将从几个方面详细解释:
时间窗是关键
脑CT诊断脑梗死的准确率与“时间窗”(即从发病到做检查的时间)密切相关。
-
超急性期(发病后6小时内)—— 准确率较低
- 准确率: 较低,通常认为在20%-40%左右。
- 原因: 在这个阶段,脑细胞刚刚开始缺血、缺氧,但细胞结构尚未发生根本性破坏,脑组织的水肿(细胞毒性水肿)非常轻微,CT上常常看不出任何异常,这是CT最大的局限性。
- 例外情况: 如果是大血管闭塞引起的大面积脑梗死,即使在这个早期,也可能因为严重的脑水肿导致脑沟回变浅、脑室受压等间接征象,经验丰富的医生可能会怀疑,但确诊仍需进一步检查。
-
急性期(发病后6小时 - 3天)—— 准确率逐渐提高
(图片来源网络,侵删)- 准确率: 开始显著提高,可达50%-80%。
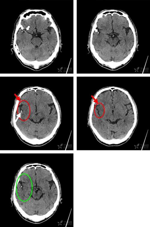
- 原因: 随着缺血时间延长,脑细胞开始坏死,血管屏障破坏,导致血管源性水肿(脑组织含水量增加),在CT图像上,梗死区域会逐渐出现密度减低的改变,特别是发病24小时后,这种改变会越来越明显。
-
亚急性期和慢性期(发病后3天 - 数周/数月)—— 准确率非常高
- 准确率: 非常高,通常可达90%以上。
- 原因: 坏死的脑组织被逐渐清除,形成软化灶(低密度灶),同时周围的脑组织会发生代偿性改变,这些在CT上都非常典型,容易识别。
影响CT准确率的其他重要因素
除了时间窗,还有两个因素至关重要:
-
梗死灶的位置和大小
- 大小: 大面积梗死比小面积梗死更容易在CT上被发现,大面积梗死引起的脑水肿和结构改变非常明显。
- 位置:
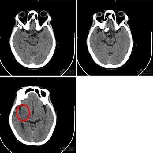
- 脑干、小脑等后颅窝的梗死: 由于颅骨的伪影干扰,CT对这些区域的显示效果较差,容易漏诊。
- 皮层下或小梗死: 对于非常小的、位于脑皮层下的腔隙性脑梗死,CT几乎无法发现,这也是为什么很多医生会建议做MRI。
-
CT设备的性能和阅片医生的经验
- 设备: 新一代的多排螺旋CT图像质量更高,分辨率更强,能显示更细微的早期改变。
- 医生经验: 经验丰富的放射科和神经科医生能够识别CT上一些不典型的早期间接征象,从而提高诊断的敏感性。
脑CT在脑梗死诊断中的真正价值
尽管CT对早期小梗死的检出率不高,但它依然是急性卒中患者首选的、不可替代的检查,其核心价值在于:
-
最重要:排除脑出血
- 脑梗死和脑出血的治疗原则完全相反,前者需要紧急溶栓或取栓,而后者绝对禁止,在给患者使用任何溶栓药物之前,必须先做一个CT检查,明确没有脑出血,这是医疗安全的“底线”。
-
识别其他病因
- CT可以发现可能导致类似卒中症状的其他疾病,如脑肿瘤、硬膜下血肿、脑脓肿等。
-
评估早期梗死征象
- 在发病早期,虽然看不到明确的低密度灶,但经验丰富的医生可以寻找一些“早期梗死征象”,
- 大脑中动脉高密度征: 提示该动脉主干有血栓形成。
- 脑沟模糊/消失: 提示局部脑水肿。
- 脑室受压: 提示大面积脑水肿。
- 在发病早期,虽然看不到明确的低密度灶,但经验丰富的医生可以寻找一些“早期梗死征象”,
与磁共振成像的对比
为了更全面地理解,我们通常会将CT和MRI进行比较:
| 特性 | 脑CT (Computed Tomography) | 脑MRI (Magnetic Resonance Imaging) |
|---|---|---|
| 早期诊断能力 | 差 (6小时内检出率低) | 极强 (特别是DWI序列,发病十几分钟即可检出) |
| 对后颅窝病变 | 差 (骨伪影干扰) | 极佳 (无骨伪影) |
| 对微小梗死灶 | 差 | 极佳 (对腔隙性梗死非常敏感) |
| 检查时间 | 快 (几分钟内完成) | 较长 (通常需要20-30分钟) |
| 费用 | 较低 | 较高 |
| 禁忌症 | 无绝对禁忌症 | 有金属植入物、起搏器、幽闭恐惧症患者等 |
| 核心价值 | 快速排除脑出血 | 早期、精准地诊断梗死 |
- 脑CT不是诊断早期脑梗死的“金标准”,尤其是在发病6小时内,其准确率较低。
- 脑CT在急性卒中中的首要任务是“排除脑出血”,这是决定后续治疗方案的关键第一步。
- 对于高度怀疑脑梗死的患者,如果CT结果阴性但临床症状高度典型,强烈建议在24小时内或病情允许时,尽快进行头颅MRI检查(特别是DWI序列),以实现早期确诊和及时治疗。
- 脑梗死的诊断是一个临床结合影像的综合判断过程,医生会根据患者的症状、体征和影像学结果做出最准确的判断。
