这是一个在头颅CT或MRI检查报告中非常常见的描述,理解它,需要把它拆分成几个部分来看。

(图片来源网络,侵删)
核心概念解释
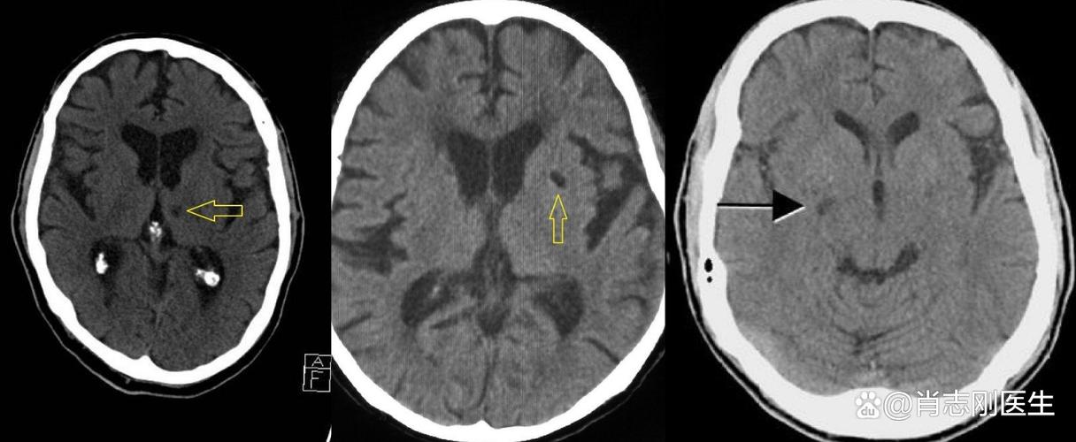
“脑内多发缺血、脑梗灶” 指的是:在大脑的多个区域,存在着一些因长期或急性脑部缺血而形成的、已经坏死的脑组织小斑点。
我们可以把它拆解成三个关键词来理解:
缺血
- 字面意思:血液供应不足。
- 在脑部:大脑是人体对氧气和营养需求最高的器官,它需要通过颈动脉和椎动脉组成的脑血管网络来持续不断地供应血液,当这些血管因为某些原因变窄、堵塞或血流不畅时,该血管供应区域的脑细胞就会因为缺血而缺氧,无法正常工作。
- 好比:城市的供水管道,如果某些支管水压不足或堵塞,那么它所供应的小区就会出现用水困难。
梗灶
- 字面意思:梗塞留下的病灶或疤痕。
- 在脑部:当缺血持续足够长的时间(通常是几分钟),导致脑细胞因为缺氧而死亡,这个过程就叫做“脑梗死”(或脑梗塞),死亡的脑组织无法再生,会形成一个永久的、坏死的区域,在影像学上(CT或MRI)就表现为一个“梗灶”或“软化灶”。
- 好比:因为长时间断水,小区里的绿化植物枯死了,这片枯死的区域就是“梗灶”。
多发
- 字面意思:不止一个,而是多个。
- 在脑部:报告中的“多发”说明这种缺血性坏死不是孤立的,而是在大脑的不同部位出现了多个小梗灶,这通常意味着脑血管的病变是广泛性、弥漫性的,而不是单一某个血管出了问题。
这意味着什么?(临床意义)
看到这个报告,您可能会担心,这到底严重吗?它代表了什么?
这不是急性脑卒中,而是陈旧性病变
- “缺血、梗灶” 这个描述通常指的是陈旧性的病灶,也就是说,这些小梗塞可能发生在数周、数月甚至数年前,它们是过去曾经发生过“小中风”或“无症状性脑缺血”留下的“疤痕”。
- 急性脑卒中通常会有急性症状,如突发言语不清、口角歪斜、肢体无力等,并且影像学上会看到新鲜的、正在发展的梗死灶,报告可能会用“急性期”、“亚急性期”等字眼。
它是“血管健康”的“黄牌警告”
- 虽然这些病灶本身是陈旧的,但“多发”这个信息非常关键,它强烈提示您的大脑血管系统存在基础性的、广泛的病变。
- 这就像一栋房子的水管,在好几个地方都发现了漏水留下的水渍,说明整个供水系统可能都老化或有问题了,未来在其他地方再次发生漏水的风险就很高了。
它反映了潜在的病因
多发缺血性梗灶通常与以下几种常见的脑血管病危险因素密切相关:

(图片来源网络,侵删)
- 动脉粥样硬化:这是最常见的原因,就像水管里长了水垢,血管壁上形成斑块,导致血管狭窄。
- 长期高血压:高压血流冲击血管壁,导致血管壁变硬、变脆,甚至形成小动脉瘤,容易堵塞或破裂。
- 糖尿病:高血糖会严重损害血管内皮,加速动脉粥样硬化。
- 高脂血症:血液中过多的脂质是形成“血管水垢”的原材料。
- 心源性栓塞:比如房颤患者心脏内形成的血栓脱落,随血流堵塞脑血管,如果梗灶分布在不同的血管区域,可能提示这个原因。
- 小血管病变:一些专门供应脑深部微小血管的病变,也会导致这些小的、多发的梗灶。
应该怎么办?(后续建议)
看到这个报告,最重要的是不要恐慌,但必须高度重视,并采取积极行动,以下是一些关键步骤:
立即就医,寻求专业评估
- 挂什么科? 建议挂神经内科,医生会结合您的具体情况(年龄、症状、病史、其他检查结果)进行综合判断。
- 医生会做什么?
- 详细问诊:了解您是否有头晕、记忆力下降、行走不稳等“非典型”症状,因为这些症状有时与多发小梗灶有关。
- 神经系统查体:检查您的肌力、感觉、反射等,看是否有轻微的神经功能缺损。
- 评估病因:医生会判断这些梗灶最可能的原因是什么。
完善相关检查
为了明确病因和评估整体血管状况,医生可能会建议您做以下检查:
- 颈动脉超声/经颅多普勒(TCD):检查颈部和颅内大血管有无狭窄或斑块。
- 心脏检查:如心电图、心脏超声,特别是排查房颤。
- 血液检查:血糖、血脂、同型半胱氨酸等。
- 头颅MRA/CTA(血管成像):更清晰地显示脑血管的形态,看有无狭窄或畸形。
- 脑灌注成像:评估脑组织的血流储备情况。
核心治疗:控制危险因素(“治本”)
这是最重要、最根本的治疗,目标是防止新的梗灶出现,降低未来发生严重中风的风险。
- 严格控制血压:这是重中之重!通常要求血压长期稳定在140/90 mmHg以下,具体目标值请遵医嘱。
- 控制血糖:糖尿病患者需将糖化血红蛋白控制在目标范围内。
- 调脂治疗:即使血脂不高,医生也可能会建议您服用他汀类药物(如阿托伐他汀、瑞舒伐他汀等),因为它不仅能降脂,还能稳定斑块、抗炎。
- 抗血小板治疗:医生可能会根据您的风险评估,建议您服用小剂量阿司匹林或氯吡格雷等药物,来预防血小板聚集,形成血栓。
- 改善生活方式:
- 健康饮食:低盐、低脂、低糖,多吃蔬菜水果、全谷物。
- 规律运动:每周至少150分钟中等强度有氧运动。
- 戒烟限酒:吸烟和过量饮酒都是明确的血管杀手。
- 控制体重。
- 保持良好心态。
“脑内多发缺血、脑梗灶”是一个重要的健康信号,它告诉您的大脑血管已经出现了慢性、广泛的损伤,它本身可能不引起严重症状,但它预示着未来发生中风的风险显著增加。

(图片来源网络,侵删)
应对策略是:把它看作一个强烈的“健康警报”,而不是“死刑判决”,通过积极就医,明确病因,并长期坚持控制危险因素和改善生活方式,可以非常有效地降低未来风险,保护您的大脑健康。
