风湿性心肌炎 的核心病理特征
风湿性心肌炎是风湿热最重要的心脏表现,其病理本质是由A组溶血性链球菌感染后引发的自身免疫性疾病,免疫系统错误地攻击了心脏组织,特别是心肌间质,因为它产生了能与心肌交叉反应的抗体。

(图片来源网络,侵删)
其病理特点可以概括为三个核心:“灶性”、“间质性”和“肉芽肿性”。
典型的病理改变:Aschoff小体 (Aschoff Body)
这是风湿性心肌炎最具特征性、诊断性的病理标志,理解了Aschoff小体,就理解了风湿性心肌炎的核心。
Aschoff小体是什么? 它是一种发生在心肌间质(心肌细胞之间的结缔组织)内的特殊肉芽肿性病变,是免疫系统攻击的“战场”。
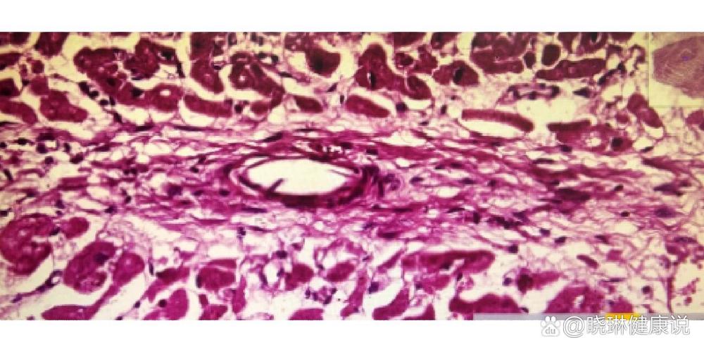
Aschoff小体的显微镜下特征(想象看到的图片):

(图片来源网络,侵删)
- 位置:散在分布于心肌间质,不侵犯心肌细胞本身。
- 中央核心:通常有纤维素样坏死,在显微镜下,这片区域看起来是无定形、深染的颗粒状物质,是组织坏死的迹象。
- 周围细胞:
- Aschoff细胞:这是最关键的细胞,它们体积很大,呈圆形或卵圆形,胞浆丰富,边界不清,细胞核很大,呈枭眼状或毛虫状,这种独特的细胞形态是其标志。
- 淋巴细胞、浆细胞:分布在Aschoff细胞周围,代表免疫炎症反应。
- 成纤维细胞:后期出现,开始修复组织。
一张典型的风湿性心肌病理图片描述:
- 低倍镜下:你会看到心肌纤维排列正常,但在心肌纤维之间(间质)散布着一些境界清楚的、淡染的或深染的小病灶,这些就是Aschoff小体。
- 高倍镜下:将镜头对准其中一个病灶,你就能清晰地看到:
- 中央是红染的、无结构的纤维素样坏死区。
- 坏死区周围环绕着数个体积巨大、核呈“枭眼状”的Aschoff细胞。
- 再外围是大量的淋巴细胞和浆细胞浸润。
其他伴随的病理改变
除了Aschoff小体,风湿性心肌炎还有一些其他表现:
- 间质血管炎:心肌间质中的小血管周围有炎症细胞浸润,血管壁也可能有变性。
- 心肌细胞变性:虽然心肌细胞不被直接破坏,但严重的炎症反应会导致心肌细胞发生脂肪变性或颗粒变性(在显微镜下看,心肌细胞胞浆内出现空泡或颗粒状物质)。
- 间质水肿:心肌细胞之间的间隙会因液体渗出而增宽。
- 心内膜和心包的累及:
- 风湿性心内膜炎:主要累及二尖瓣和主动脉瓣,瓣膜上出现疣状赘生物(由血小板和纤维素构成,无菌性血栓)。
- 风湿性心包炎:表现为浆液纤维素性炎,心包腔内有少量浆液和纤维素性渗出,形成“绒毛心”。
风湿性心肌炎的病理演变过程
了解其发展过程有助于更好地理解图片所见:
- 渗出期:早期表现为心肌间质血管扩张、充血,有大量浆液和炎症细胞(中性粒细胞为主)渗出,此时Aschoff小体尚未形成。
- 增生期(肉芽肿期):这是活动期的主要表现,Aschoff小体形成,以Aschoff细胞和淋巴细胞浸润为特征。
- 硬化期(愈合期):炎症消退,Aschoff小体内的细胞成分被纤维组织取代,形成小瘢痕,这些瘢痕永久性地损害了心脏的结构和功能,是导致慢性风湿性心脏病的病理基础。
如何寻找真实的病理图片?
如果您想查看真实的病理切片图片,建议通过以下途径:

(图片来源网络,侵删)
- 医学数据库:
- PathologyOutlines.com:一个非常权威的病理学网站,搜索"Aschoff body"或"Rheumatic carditis",有高质量的图片和详细描述。
- LibreTexts Library:开源的医学教材,包含大量病理学图谱。
- 医学搜索引擎:
- 使用 Google Images 或 百度图片,搜索关键词:
- 中文: "Aschoff小体 病理切片", "风湿性心肌炎 显微镜", "枭眼细胞"
- 英文: "Aschoff body histology", "Rheumatic carditis pathology", "Aschoff cell owl eye nucleus"
- 使用 Google Images 或 百度图片,搜索关键词:
- 教科书:
《罗宾斯病理学》是病理学的“圣经”,其中关于风湿性心脏病的章节配有经典图片。
一张典型的风湿性心肌炎病理图片,其核心就是在心肌间质中找到Aschoff小体,识别这个由中央纤维素样坏死、周围Aschoff细胞(枭眼核)和淋巴细胞共同构成的“小病灶”,是诊断该病的关键,这些小灶性病变的反复发作和愈合,最终导致了心脏瓣膜和心肌的永久性损害。
