腔隙性脑梗死(Lacunar Infarction)是脑梗死的一种特殊类型,其特点是病灶较小(通常直径小于15-20毫米),由大脑深部穿通动脉(如豆纹动脉、丘脑穿通动脉等)闭塞引起,MRI是诊断腔隙性脑梗死最敏感、最可靠的影像学方法。

(图片来源网络,侵删)
核心MRI表现总结
腔隙性脑梗死在MRI上的表现可以概括为以下几点,这些表现会随着时间(从急性期到慢性期)而演变:
- 位置特定性:好发于大脑深部区域,如基底节区、丘脑、脑干(尤其是脑桥)、放射冠及半卵圆中心。
- 形态学特征:病灶通常呈圆形、卵圆形或线状,边界相对清晰,这与大动脉主干闭塞引起的大面积脑梗死的形态不同。
- 信号演变:病灶的信号强度会随时间发生规律性变化,这是诊断的关键。
按时间顺序的详细MRI表现
超急性期(发病 < 6小时)
在这个阶段,常规的T1、T2和FLAIR序列可能完全正常,这是MRI诊断的难点。
- 弥散加权成像:这是最关键的序列,由于细胞毒性水肿导致水分子弥散受限,DWI上病灶呈明显的高信号。
- 表观弥散系数:与DWI高信号相对应,ADC图上病灶呈低信号。
- 其他序列:T1、T2、FLAIR序列可能无异常,或仅有轻微的T2/FLAIR轻度增高。
小结:在超急性期,DWI/ADC mismatch(DWI高信号,ADC低信号)是诊断腔隙性脑梗死的金标准。
急性期(6小时 - 3天)
这是MRI最容易发现病灶的时期。

(图片来源网络,侵删)
- DWI:病灶仍呈明显高信号,弥散受限达到顶峰。
- ADC:持续呈低信号。
- T2加权像:病灶开始出现高信号。
- FLAIR(液体衰减反转恢复)序列:对显示靠近脑脊液(如脑室、脑沟)的病灶非常敏感,病灶呈明显高信号,且比T2更清晰,因为脑脊液信号被抑制了。
- T1加权像:病灶通常呈等信号或低信号,此时可能不明显。
小结:急性期,DWI高信号和T2/FLAIR高信号是主要表现。
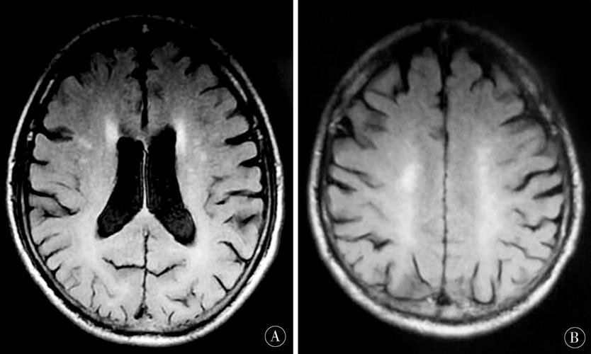
亚急性期(4天 - 4周)
病灶开始进入“吞噬”阶段,信号特征开始反转。
- DWI:高信号信号开始减低,因为水肿减轻,细胞坏死,水分子弥散受限程度下降。
- ADC:从低信号逐渐转为高信号(假性正常化),反映了细胞坏死和 vasogenic edema(血管源性水肿)导致的水分子弥散增加。
- T2/FLAIR:持续呈高信号。
- T1加权像:在亚急性后期(约1-2周后),由于病灶内开始出现蛋白质和脂质等顺磁性物质,T1像上可出现高信号(此现象不常见于小的腔隙性梗塞,更常见于大梗死的“强化效应”)。
小结:亚急性期,ADC信号从低转高是重要标志,T2/FLAIR持续高信号。
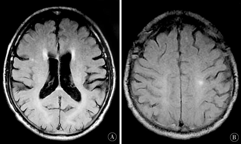
慢性期(> 4周)
这是最终的形态和信号。

(图片来源网络,侵删)
- DWI/ADC:信号通常恢复正常,呈等信号。
- T2/FLAIR:病灶持续呈高信号,代表胶质增生和囊腔形成。
- T1加权像:病灶最终形成边界清晰的低信号(脑脊液样信号),即“腔隙”(Lacune),这是“腔隙性脑梗死”名称的由来。
- 磁敏感加权成像:如果梗死灶内有微量出血,SWI上可能会看到微小的低信号影(含铁血黄素沉积)。
不同MRI序列的“速查表”
| 时间阶段 | DWI (弥散加权像) | ADC (表观弥散系数) | T2加权像 | FLAIR (液体衰减反转恢复) | T1加权像 | 最终形态 |
|---|---|---|---|---|---|---|
| 超急性期<>(<6h) | +++ (高信号) | --- (低信号) | (-) 或 (±) | (-) 或 (±) | (-) 或 (±) | - |
| 急性期<>(6h-3d) | +++ (高信号) | --- (低信号) | ++ (高信号) | +++ (高信号) | = 或 - | - |
| 亚急性期<>(4d-4w) | ++ (高信号)↓ | = 或 ++ (高信号)↑ | ++ (高信号) | ++ (高信号) | = 或 + (后期) | - |
| 慢性期<>(>4w) | = (等信号) | = (等信号) | ++ (高信号) | ++ (高信号) | --- (低信号) | 低信号腔隙 |
(+++: 非常显著; ++: 显著; +: 轻微; =: 等信号; -: 无明显改变; ---: 显著低信号)
鉴别诊断
在MRI上,需要将腔隙性脑梗死与其他在相似位置和序列上表现为高信号的病变相鉴别:
-
血管周围间隙:
- 形态:线条状、圆形或卵圆形,通常更小、更规则。
- 信号:在所有序列上(T1, T2, FLAIR, DWI)均与脑脊液信号完全一致(即T1低、T2高、FLAIR低、DWI等信号)。
- 位置:沿着血管走行,常见于基底节区、中脑等。
-
小动脉硬化性微出血:
- 序列:在*T2加权像或SWI上表现为小的、局灶性的低信号**(“微出血灶”),而不是高信号。
- 意义:常与高血压和脑小血管病相关,是腔隙性梗死的危险因素。
-
脱髓鞘斑块:
- 形态:形态不规则,呈斑片状,常垂直于侧脑室(Dawson手指征)。
- 分布:多位于脑白质,如侧脑室周围、半卵圆中心。
- 强化:部分急性脱髓鞘病灶在增强扫描后可有强化。
-
急性期脑出血:
- 信号:急性期在T2上表现为低信号(脱氧血红蛋白),在T1上等或低信号,与梗死的T2高信号截然不同,亚急性期后才表现为T1高信号。
MRI是诊断腔隙性脑梗死的首选和最佳工具。 其典型表现为:特定好发部位的圆形或卵圆形病灶,在急性期DWI和T2/FLAIR序列上呈高信号,慢性期形成T1低信号、T2高信号的“腔隙”,根据病史和典型的MRI信号演变,可以做出明确诊断,并为临床治疗和风险评估提供关键依据。
