这是一个非常好的问题,也是很多患者和家属都非常关心的问题。

(图片来源网络,侵删)
简单直接的回答是:是的,脑磁共振(特别是MRI)存在误诊脑梗的可能性,但其准确性远高于其他检查方法,误诊率相对较低。
下面我将从几个方面详细解释为什么会发生误诊、哪些情况容易导致误诊,以及如何最大限度地避免误诊。
为什么MRI是诊断脑梗的“金标准”?
在讨论误诊之前,我们必须先肯定MRI在诊断脑梗中的核心地位,相比于CT等其他影像学检查,MRI有两大“王牌”:
-
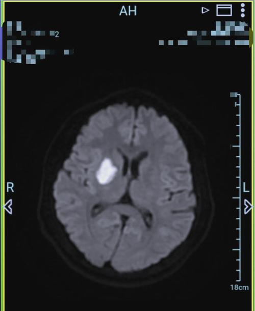
极高的敏感性:
(图片来源网络,侵删)- 早期发现: 对于急性缺血性脑梗,MRI可以在发病后的几分钟到几小时内就发现异常信号,特别是DWI(弥散加权成像)序列,对早期脑梗死的诊断非常敏感,几乎在细胞水肿出现的第一时间就能捕捉到。
- CT检查的短板: 相比之下,普通CT在脑梗发病后的6小时内往往难以发现明确的梗死灶,只有在发病24-48小时后,当脑组织发生明显坏死时,CT才能显示出低密度灶。
-
多序列、多参数成像:
MRI可以提供T1加权像、T2加权像、FLAIR(液体衰减反转恢复)、DWI、PWI(灌注加权成像)等多个序列,通过综合分析这些序列,医生不仅能判断是否存在脑梗,还能评估梗死的范围、时间(是新发还是陈旧)、以及脑组织的血流灌注情况,这对于指导治疗(如是否适合溶栓)至关重要。
MRI误诊脑梗的可能原因
尽管MRI很强大,但它并非100%完美,误诊通常发生在以下几种情况:
影像表现不典型(假阳性)
这是导致“误诊为脑梗”的最主要原因,有些其他疾病的影像表现与脑梗非常相似,容易被混淆。

(图片来源网络,侵删)
- 脑肿瘤: 某些肿瘤(如淋巴瘤、转移瘤、胶质瘤)在DWI上可能表现为高信号,看起来就像急性脑梗,但结合其他序列(如T1增强扫描),通常能发现肿瘤的特征,如占位效应、水肿、不均匀强化等。
- 脱髓鞘疾病: 如多发性硬化(MS)、急性播散性脑脊髓炎(ADEM)等,病灶也常位于脑白质,在DWI上可呈高信号,但这类病灶的形态、分布和信号特点与血管分布区(脑梗的典型分布)不一致,且常伴有其他特征性表现。
- 感染性病变: 如脑脓肿,其中心在DWI上表现为高信号(类似急性梗塞),但其周围有环形强化,形态也更为规整。
- 可逆性后部脑病综合征: 常见于血压急剧升高、使用某些免疫抑制剂的患者,表现为双侧枕叶的血管源性水肿,在T2/FLAIR上呈高信号,有时也会被误判为梗塞,但该病通常是可逆的,治疗后病灶会消失。
- 其他代谢性或中毒性脑病: 严重的电解质紊乱、一氧化碳中毒等也可能导致脑部出现类似梗死的信号改变。
技术和操作因素
- 图像伪影: MRI检查过程中,如果患者头部移动产生运动伪影,或者设备本身产生金属伪影、化学位移伪影等,可能会在图像上制造出类似病灶的假象。
- 扫描参数不当: 如果选择的扫描序列、层厚、参数设置不合适,可能会导致对某些病变的显示不佳或产生误导。
人为判读因素
- 阅片经验不足: 年轻医生或对神经影像学不熟悉的放射科医生,可能缺乏鉴别诊断的经验,将不典型的病变误判为脑梗。
- 信息不完整: 仅凭单一的DWI序列就下诊断,而没有结合其他序列(如FLAIR、ADC)和患者的临床资料(如症状、病史),大大增加了误诊风险。
- 关键点:ADC(表观弥散系数)图! 这是鉴别DWI高信号是“真脑梗”还是“假病灶”的关键。
- 急性脑梗: 细胞毒性水肿,水分子运动受限,DWI高信号,ADC低信号。
- 肿瘤、脓肿等: 细胞外水肿为主,水分子运动相对自由,DWI高信号,但ADC也是高信号(或等信号)。
- 血管源性水肿(如PRES): 同样是ADC高信号。
- 一个经验丰富的放射科医生一定会将DWI与ADC图进行对照分析。
- 关键点:ADC(表观弥散系数)图! 这是鉴别DWI高信号是“真脑梗”还是“假病灶”的关键。
病情本身的复杂性
- 新旧病灶并存: 患者既有新发的急性脑梗,又有陈旧的小软化灶,如果阅片不仔细,可能会漏掉新病灶或将陈旧灶误认为新病灶。
- “梗塞后出血”: 脑梗死区域由于血流再通或继发出血,在后期可能会出现出血信号,这种表现也需要与原发性脑出血鉴别。
如何最大限度地避免误诊?
误诊的发生是多种因素共同作用的结果,但可以通过以下措施来最大程度地降低风险:
- 临床与影像紧密结合: 这是最重要的一点,放射科医生必须仔细阅读患者的病历,了解其临床症状、体征、发病时间、既往病史等,临床医生也需要根据影像结果,结合患者的具体情况综合判断,如果患者没有神经系统症状,MRI上发现一个小的“梗塞灶”,则需要考虑是否为无症状性梗死,或是其他病变。
- 选择合适的检查序列和时机: 医生会根据怀疑的疾病和发病时间,选择最佳的MRI扫描方案,怀疑急性脑梗,必须包含DWI和ADC序列。
- 由经验丰富的医生阅片: 选择有经验的神经放射科医生或大型医院的影像科进行诊断,他们对各种不典型病变的鉴别能力更强。
- 必要时进行增强扫描: 当平扫MRI难以鉴别是脑梗还是肿瘤时,注射造影剂进行增强扫描是有效的鉴别手段,肿瘤通常会强化,而急性脑梗在早期一般不强化(除非是“出血性转化”)。
- 短期复查MRI: 对于诊断不明确或高度怀疑是可逆性病变的情况(如PRES),可以在短期内(如几天后)复查MRI,如果是脑梗,病灶范围会扩大或信号演变;如果是可逆性病变,病灶可能会明显缩小或消失。
脑磁共振是诊断脑梗最准确、最敏感的工具,但并非绝对无误。
误诊主要发生在将其他具有类似影像表现的疾病(如肿瘤、脱髓鞘等)误判为脑梗,或者阅片经验不足、信息不全的情况下。
通过临床与影像的紧密结合、规范的扫描流程、经验丰富的医生判读以及必要的辅助检查(如增强扫描、ADC图分析),可以将MRI误诊脑梗的风险降到最低,当您拿到MRI报告看到“脑梗”诊断时,如有疑虑,可以咨询神经内科或放射科的专家,他们会结合您的全部情况进行综合评估。
