第一部分:基础知识——CT片子上有什么在看脑梗时?
在看脑梗CT时,我们主要关注两大类东西:脑组织和血管。

(图片来源网络,侵删)
脑组织 (The Brain Itself)
脑组织在CT片子上根据密度不同,显示为不同的灰度,记住这个简单的规律:
- 白色/高密度: 骨头、新鲜出血、钙化。
- 灰色/等密度: 脑灰质、脑白质。
- 黑色/低密度: 脑脊液(脑室里的液体)、正常脑组织在某些特定序列下、梗死区域(在早期)。
血管 (The Blood Vessels)
我们主要看的是大动脉,比如大脑中动脉,它是脑梗最常发生的部位。
- CTA (CT Angiography, CT血管成像): 这是专门看血管的,通过注射造影剂,血管会显示为白色,医生会观察血管里是否有白色的“充盈缺损”,这就是血栓,它堵塞了血管,导致下游脑组织缺血。
第二部分:看脑梗CT的关键步骤(超简化版)
拿到CT片子,你可以按照以下思路去观察:
先看“有没有”——排除最紧急的情况(脑出血)
这是CT看急性脑梗的首要任务,医生必须在几分钟内判断患者是脑梗(缺血性)还是脑出血(出血性),因为这两种病的治疗方案完全相反,甚至相反!

(图片来源网络,侵删)
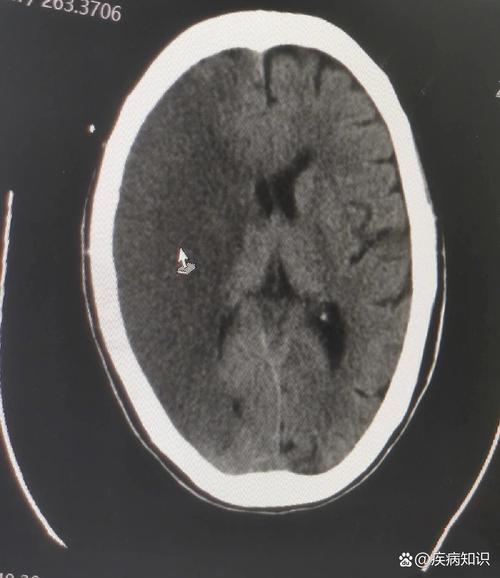
- 看哪里: 整个大脑的实质部分。
- 看什么: 有没有异常的白色高密度影?
- 没有白色高密度影: 强烈提示是缺血性脑梗(脑梗塞),因为新鲜的脑出血在CT上会非常显眼,像一个白色的“血块”。
- 有白色高密度影: 那就不是脑梗,而是脑出血,需要立刻进行止血等治疗。
【关键点】:对于急性脑梗(发病6小时内),普通的平扫CT可能完全正常!这是CT诊断脑梗最大的局限性,只有在发病24-48小时后,坏死的脑组织才会因为水分增多而显示出低密度(黑色)区域。
再看“在哪里”——定位病灶
如果CT上已经能看到低密度区,或者医生结合症状高度怀疑是脑梗,下一步就是定位。
-
如何定位:
- 看层面: CT片子是从下往上(脚到头)一层一层扫描的,每一层都有编号(如层面1、层面2...),你需要找到病灶在哪一层。
- 看左右: 片子上通常会标有“L”(左)和“R”(右),对照患者自己的左右,确定病灶在左侧还是右侧大脑。
- 看具体位置:
- 大脑半球: 是在额叶、顶叶、颞叶还是枕叶?
- 脑干: 是在脑桥、中脑还是延髓?(脑干梗塞非常危险)
- 小脑: 位于后颅窝。
-
为什么定位重要: 不同部位的血管堵塞,会导致不同的症状,左侧大脑中动脉堵塞,可能导致右侧偏瘫、失语;右侧大脑中动脉堵塞,可能导致左侧偏瘫、空间忽略症等。
(图片来源网络,侵删)
看“血管通不通”——寻找病因(看CTA)
这是寻找脑梗“元凶”的关键一步。
- 看哪里: 主要看颈内动脉、基底动脉和大脑中动脉等大血管。
- 看什么:
- 血管是否连续? 有没有突然中断或变细?
- 血管内有没有白色的“充盈缺损”? 这就是血栓,是堵塞的直接原因。
- 血管有没有狭窄或斑块? 狭窄超过70%就可能是病因。
【重要提示】:如果CT平扫正常,但医生高度怀疑脑梗,会立刻安排CTA检查,CTA可以清晰地显示血管堵塞情况,是早期诊断和制定溶栓/取栓方案的重要依据。
看“影响有多大”——评估病情
-
看有没有“中线移位”:
- 正常情况下,大脑中间的缝隙(大脑镰)应该在正中间。
- 如果一侧大脑因为大面积梗塞或水肿变得非常“肿”,就会把大脑推向另一侧,导致中线偏移,这是一个非常危险的信号,意味着颅内压力增高,有脑疝的风险。
-
看有没有“脑室受压”:
坏死的脑组织会水肿,压迫周围的脑室,使脑室变小、变形,这也是判断梗塞范围和严重程度的指标。
第三部分:一张图总结(脑梗CT vs 脑出血CT)
| 特征 | 缺血性脑梗 (脑梗塞) | 出血性脑卒中 (脑出血) |
|---|---|---|
| 发病早期 (6小时内) | CT平扫可能完全正常! | CT平扫显示为边界清晰的白色高密度影。 |
| 发病24-48小时后 | CT平扫显示为低密度(黑色)区域。 | CT平扫仍为白色高密度影,周围可有水肿带。 |
| CTA检查 | 可见血管内白色充盈缺损(血栓),或血管狭窄/闭塞。 | 一般不需要CTA,出血点周围血管可能被血块推开。 |
| 中线结构 | 通常不移位,除非是大面积梗塞导致严重水肿。 | 常因血肿压迫导致中线移位。 |
| 治疗原则 | 溶栓 (用药物溶解血栓)、取栓 (手术取出血栓)。 | 止血、降颅压、必要时手术清除血肿。 |
也是最重要的提醒
- 不要自己诊断! 这份指南是为了帮助你理解医生在说什么,让你和医生沟通时更有底气,而不是让你自己给自己或家人下结论。
- CT不是万能的! 对于超早期的脑梗,MRI(磁共振)特别是DWI序列(弥散加权成像)比CT敏感得多,能更早地发现病灶。
- 时间就是大脑! 如果怀疑脑梗,立即拨打急救电话,不要等待,不要犹豫,溶栓和取栓都有严格的时间窗,越早治疗,后遗症越小。
你看脑梗CT片的思路应该是: 先排除脑出血(看有没有白色血块) -> 再找梗塞灶(看有没有黑色低密度区) -> 定位位置(在哪一层、哪一侧) -> 看血管(CTA上有没有白色血栓) -> 评估严重程度(看有没有中线移位)。
希望这份指南能对你有所帮助!
