脑梗和脑白质病变是两种不同但可能相关的脑部问题,它们引起的症状有重叠,但也有各自的特点。

(图片来源网络,侵删)
什么是脑梗?
脑梗,全称“脑梗死”或“缺血性脑卒中”,通俗地讲就是“中风”的一种,它是指因为脑部血管堵塞,导致局部脑组织因为缺血缺氧而坏死、软化,就像水管堵了,下游就没水了,下游的土地就会干涸。
核心原因: 血栓或栓子堵塞了脑血管。
脑梗的症状(通常是急性、突发的)
脑梗的症状取决于堵塞的血管位置和受影响的脑区功能,记住FAST原则可以帮助快速识别:
- F (Face - 脸): 脸部不对称,口角歪斜,一侧脸部下垂。
- A (Arm - 手臂): 一只手臂无力或麻木,无法平举。
- S (Speech - 语言): 言语不清、说话困难,或听不懂别人的话。
- T (Time - 时间): 出现以上任何症状,立即拨打急救电话,时间是关键!
除了FAST原则,脑梗还可能引起以下症状,这些症状通常是突然出现的:

(图片来源网络,侵删)
- 肢体功能障碍:
- 偏瘫:一侧身体(手臂和腿)无力或完全无法活动。
- 感觉障碍:一侧身体麻木、针刺感、感觉减退。
- 言语障碍:
- 失语症:能听懂但说不出话(运动性失语),或能说话但听不懂(感觉性失语)。
- 构音障碍:发音不清,但语言理解能力正常。
- 视觉障碍:
- 偏盲:双眼同一侧的视野缺损。
- 复视:看东西重影。
- 眼球活动异常。
- 眩晕与平衡障碍:
- 突然感到天旋地转,站立不稳。
- 共济失调:动作不协调,像喝醉酒一样走路摇晃。
- 意识障碍:
在严重情况下,可能出现意识模糊、嗜睡,甚至昏迷。
- 头痛:
部分患者(尤其是大面积脑梗)会伴有剧烈头痛。
脑梗的症状是急性、突发、局灶性的,对应着大脑特定功能区的突然失能。
什么是脑白质病变?
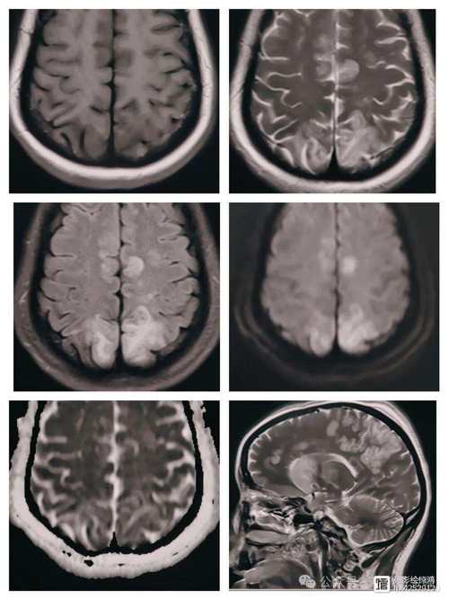
脑白质病变,在影像学上(如CT或MRI)通常表现为“脑白质高信号”(White Matter Hyperintensities, WMH),它不是一种疾病,而是一种影像学表现,是多种因素导致的大脑白质发生的一种慢性、弥漫性改变。
核心原因: 脑白质区域的小血管长期受损、缺血、脱髓鞘(神经纤维外层的绝缘层破坏)等,它更像是一种“老化”或“小血管病”的迹象。
脑白质病变的症状(通常是慢性、渐进的)
脑白质负责连接大脑的不同区域,传递信息,当白质受损时,大脑的“信息高速公路”出现故障,症状往往是非特异性和逐渐加重的,不像脑梗那样突然。
- 认知功能下降(最核心的症状):
- 记忆力减退: 尤其是近期记忆力,忘记刚发生的事情。
- 注意力不集中: 做事容易分心,难以集中精力完成复杂任务。
- 思维迟缓: 反应变慢,处理信息速度下降。
- 执行功能障碍: 规划、组织、解决问题的能力变差,比如理财、安排行程变得困难。
- 在严重情况下,可能发展为血管性痴呆。
- 步态不稳和平衡障碍:
- 走路缓慢、步幅变小,容易摔跤。
- 走路时“拖泥带水”,感觉双腿不听使唤。
- 这是脑白质病变非常典型的症状之一。
- 情绪和精神行为改变:
- 情绪淡漠、对事物失去兴趣。
- 容易焦虑、抑郁、情绪波动大。
- 出现无端的哭笑。
- 排尿功能异常:
出现尿频、尿急,甚至尿失禁,这在老年人中很常见。
- 头晕和轻微的肢体无力:
- 持续的、非旋转性的头晕头昏。
- 感觉双腿“发软”,但通常没有明显的偏瘫。
脑白质病变的症状是慢性、弥漫性的,主要影响认知、步态和情绪,进展缓慢,容易被误认为是“正常衰老”。
脑梗和脑白质病变的联系与区别
这是一个关键点:两者常常同时存在,且互为因果。
联系:
- 共同的病因基础: 它们的主要病因都是脑血管病,特别是小血管病变,高血压、糖尿病、高血脂、吸烟等风险因素,既会导致大血管堵塞引发脑梗,也会损害小血管,导致脑白质病变。
- 脑梗可以加重脑白质病变: 一次脑梗(尤其是小血管梗塞)会直接破坏白质,在MRI上表现为一个明确的“梗死灶”,这本身就是脑白质病变的一部分。
- 脑白质病变是脑梗的危险因素: 严重的脑白质病变意味着大脑的小血管已经很差了,这使得大脑对缺血的耐受能力下降,发生新发脑梗的风险会显著增加。
区别:
| 特征 | 脑梗 | 脑白质病变 |
|---|---|---|
| 本质 | 一种疾病(急性事件) | 一种影像学表现(慢性过程) |
| 发病 | 急性、突发(数秒到数分钟内) | 慢性、渐进(数月到数年) |
| 核心症状 | 局灶性神经功能缺损(偏瘫、失语、偏盲等) | 弥漫性认知障碍、步态不稳、情绪改变 |
| 诊断依据 | 临床症状 + 影像学(MRI/CT)上明确的梗死灶 | 影像学(MRI)上白质区域的弥漫性高信号 |
| 紧急程度 | 十万火急,需立即就医 | 不紧急,但需定期复查和干预风险因素 |
给您的建议
如果您或您的家人出现了相关症状:
- 如果症状是突发的、严重的(如突然口歪、手无力、说不出话),请立即拨打120急救电话! 这可能是脑梗,时间就是大脑。
- 如果症状是缓慢出现的、逐渐加重的(如记忆力越来越差、走路不稳、频繁摔跤),请尽快到神经内科门诊就诊,医生会通过问诊、体格检查和头颅MRI等检查来明确诊断,区分是单纯的脑白质病变,还是合并了其他问题(如脑梗、阿尔茨海默病等)。
- 无论哪种情况,控制风险因素都是根本:
- 严格控制血压、血糖、血脂。
- 戒烟限酒。
- 健康饮食,均衡营养。
- 坚持适当的体育锻炼。
- 保持积极乐观的心态。
希望这个详细的解释能帮助您更好地理解这两个概念。
