我会用通俗易懂的方式,从以下几个方面为您解释:

(图片来源网络,侵删)
- 什么是脑梗?
- 什么是FLAIR序列?
- 为什么脑梗在FLAIR上会“显影”?
- FLAIR显影的特点和临床意义是什么?
- 一个完整的脑梗MRI检查通常包括哪些序列?
什么是脑梗?
脑梗,全称“脑梗死”,就是我们常说的“中风”的一种最常见类型,它的本质是大脑的某一部分血管被堵塞了,导致该区域的脑组织因为缺血缺氧而发生坏死。
就像一个城市突然断了水断电,供水区域内的居民(脑细胞)就会死亡,这个坏死的区域,在医学上称为“梗死灶”。
什么是FLAIR序列?
FLAIR是Fluid-Attenuated Inversion Recovery的缩写,中文全称是“液体衰减反转恢复”序列。
您可以把它理解为MRI扫描中一种特殊的“照相机”模式,它最核心的功能是:能非常有效地“抹掉”脑脊液的信号,让周围的脑组织结构看得更清楚。

(图片来源网络,侵删)
- 脑脊液:我们大脑和脊髓周围充满了清澈的液体,起到保护和缓冲作用,在常规的MRI图像上(如T2加权像),脑脊液是非常亮(白色)的。
- 问题所在:大脑的很多结构,比如脑室和大脑表面的蛛网膜下腔,都充满了脑脊液,当这些区域旁边有病变时,亮白的脑脊液会“干扰”我们的视线,就像在拍照时背景太亮,看不清主体一样。
FLAIR序列的巧妙之处就在于:它通过特殊的脉冲技术,将脑脊液的信号“压”到几乎看不见,变成黑色,这样一来,原本被脑脊液掩盖的脑组织、病变等就“凸显”出来了,细节非常丰富。
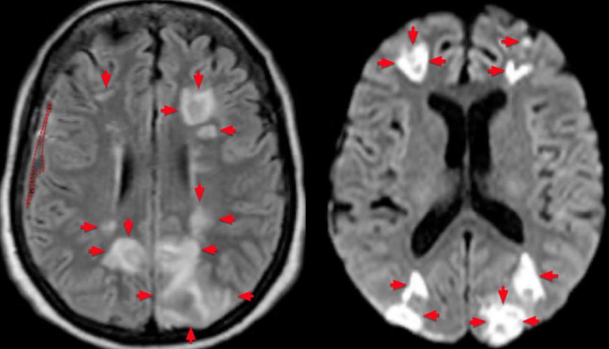
为什么脑梗在FLAIR上会“显影”?(核心机制)
脑梗在FLAIR上的显影,与脑梗的不同时期密切相关,这是理解这个问题的关键。
A. 急性期(发病数小时内)
- 病理变化:血管刚堵上,脑细胞刚开始死亡,但细胞外的水分还没有明显增加,梗死区域的含水量与正常脑组织差别不大。
- FLAIR表现:在超早期(<6小时),FLAIR上可能完全看不到异常,或者仅有非常轻微的信号改变,这是FLAIR的一个局限性,也是为什么医生在怀疑急性脑梗时,会加做DWI(弥散加权成像)序列的原因,DWI对早期细胞毒性水肿极其敏感,发病几分钟就能显示出高信号。
B. 亚急性早期(发病数小时至数天)
- 病理变化:随着脑细胞坏死,血管壁也受损,导致大量的水分从血管内漏出到坏死的脑组织中,这称为“血管源性水肿”,梗死区域的含水量显著增加。
- FLAIR表现:由于梗死区水分增多,在FLAIR图像上,这个区域会呈现明显的高信号(白色),因为FLAIR把周围的脑脊液“抹黑”了,所以这个白色的梗死灶在黑色的背景下显得非常清晰、边界锐利,这是FLAIR诊断脑梗的“黄金时期”。
C. 亚急性晚期(发病1-2周)
- 病理变化:水肿达到顶峰后开始慢慢消退。
- FLAIR表现:梗死灶的高信号依然存在,但程度可能略有减轻,FLAIR上的高信号是诊断脑梗非常可靠的依据。
D. 慢性期(发病数周至数月)
- 病理变化:坏死的脑组织被逐渐清除,形成一个“空腔”,周围由胶质细胞增生来填充,这个胶质疤痕会含有很多蛋白质和脂质。
- FLAIR表现:
- 梗死灶会从高信号逐渐变为等信号(与周围正常脑组织差不多,灰白相间,不太明显)。
- 更重要的是,由于脑组织坏死形成了“空腔”,这个空腔里充满了脑脊液,在FLAIR上,这个区域会呈现出与脑脊液一样的低信号(黑色),这个“脑脊液样信号”的囊腔是陈旧性脑梗的典型标志。
FLAIR显影的特点和临床意义
特点总结
| 脑梗时期 | FLAIR主要表现 | 关键点 |
|---|---|---|
| 急性早期 | 可能阴性(正常) | 不敏感,需结合DWI |
| 亚急性期 | 明显高信号(白色) | 非常敏感和特异,是诊断的“主力” |
| 慢性期 | 脑脊液样低信号(黑色) | 提示陈旧性梗死,形成软化灶 |
临床意义
- 诊断脑梗:对于非急性期的脑梗,FLAIR是发现和诊断梗死灶最常用、最有效的序列之一。
- 发现陈旧性梗塞:通过寻找FLAIR上的“脑脊液样信号”囊腔,医生可以判断患者过去是否有过“无声”的脑梗(即患者没有症状,但影像上发现了病灶),这对于评估脑血管病风险非常重要。
- 鉴别诊断:FLAIR能清晰地显示脑表面(皮质)的病变,这对于鉴别是皮质梗死还是单纯的白质病变非常有帮助,皮质梗死的病因通常更复杂(如心源性栓塞),而白质病变可能与小血管病有关。
- 评估病情范围:清晰的边界有助于医生准确评估脑梗死的范围和严重程度。
一个完整的脑梗MRI检查通常包括哪些序列?
现代神经影像学诊断强调“多序列综合判断”,不会只看FLAIR一个序列,一个标准的脑部MRI平扫通常包括:
- T1加权像 (T1WI):解剖结构清晰,对出血、钙化、脂肪等敏感,亚急性期的出血在T1上是高亮的。
- T2加权像 (T2WI):对水肿和病变敏感,脑脊液是亮的。
- FLAIR序列:“杀手锏”序列,压掉脑脊液信号,突出病变,尤其对皮层梗死和陈旧梗死灶显示极佳。
- DWI (弥散加权成像) + ADC (表观弥散系数图):急性脑梗的“金标准”,在发病数分钟内就能发现异常,DWI高信号+ADC低信号是急性梗死的典型表现。
- SWI/Susceptibility Weighted Imaging (磁敏感加权成像):对微小的出血(微出血)和含铁血黄素沉积极其敏感,有助于判断出血性转化的风险和病因。
简单比喻:
- T1/T2 就像是城市的基础地图,能看到主要的建筑和道路。
- FLAIR 就像是给地图上的“湖泊”(脑脊液)去色,让湖边的“废墟”(病变)一目了然。
- DWI 就像是烟雾报警器,能在火苗刚冒出来时就发出警报,比看到大火(T2/FLAIR上的大片高信号)要早得多。
“脑梗 FLAIR显影” 指的是在MRI的FLAIR序列图像上,脑梗死灶呈现出特征性的信号变化。
- 在发病后数天到数周的亚急性期,它会表现为清晰的高信号(白色),是诊断脑梗的利器。
- 在慢性期,它会表现为脑脊液样低信号(黑色)的软化囊腔,代表陈旧性梗死。
虽然FLAIR非常重要,但它并非万能,在急性期,必须结合更敏感的DWI序列才能做出最快、最准确的诊断,解读MRI报告需要专业医生综合所有序列的信息。
