核心概念解释
-
二尖瓣狭窄:
(图片来源网络,侵删)- 是什么:心脏的左心房和左心室之间有一个瓣膜,叫做二尖瓣,它的作用就像一扇单向门,保证血液从左心房顺畅地流入左心室,然后在心脏收缩时防止血液倒流回左心房。
- 狭窄:当这扇门“打不开”或者只能打开一条缝时,就叫做二尖瓣狭窄,这会导致左心房的血液无法顺利进入左心室,左心房的压力会因此急剧升高。
- 常见原因:在现代社会,最常见的原因是风湿热留下的后遗症(虽然现在不常见,但仍是主要原因),其他原因包括老年性钙化、先天性畸形等。
-
无症状脑梗:
- 是什么:也称为“静息性脑卒中”或“静息性脑梗死”,指的是大脑的某个区域因为血管堵塞(血栓)导致缺血、坏死,但患者没有出现典型的中风症状,如口角歪斜、肢体无力、言语不清、视物模糊等。
- 如何发现:这种脑梗通常是在进行其他检查(如头部CT/MRI)时被意外发现的,虽然当时无症状,但它会对大脑功能造成长期、细微的影响,如增加未来患痴呆症的风险、认知功能下降等。
二尖瓣狭窄如何导致“无症状脑梗”?
这是一个典型的心源性栓塞 的过程,具体步骤如下:
-
血液淤积和压力增高:由于二尖瓣狭窄,左心室的血液充盈受阻,导致血液在左心房里“堵车”和淤积,左心房为了克服狭窄的瓣膜,会代偿性地变得肥厚、扩张,像一个过度膨胀的气球。
-
心房颤动的发生:长期的高压力和血液淤积,会严重损害左心房的心肌细胞,导致心脏的电活动紊乱,最常见的心律失常就是心房颤动(房颤),在房颤状态下,心房不再规律、有效地收缩,而是进行着不协调的、快速的“乱颤”。
(图片来源网络,侵删) -
血栓的形成:在心房,特别是心耳部位,因为血流缓慢、停滞,红细胞和血小板等血液成分很容易在这里沉积、聚集,形成一个血凝块,也就是血栓,这个血栓就像是水管里的一团淤泥,会越变越大。
-
血栓脱落与栓塞:这个心房内的血栓并不稳定,当心脏再次有力地收缩(或在不规律的房颤中)时,血栓就可能被整个或部分地脱落下来,随着血流被泵出心脏。
-
脑梗塞的发生:脱落的血栓会顺着主动脉向上流动,最终进入脑动脉,如果血栓的体积足够大,恰好卡在了某条较细的脑动脉里,就会完全堵住血管,导致该血管供应的大脑区域缺血、坏死,从而引发脑梗塞。
为什么是“无症状”的? 这与梗塞灶的大小和位置有关,如果梗塞的脑区域是“静默区”,负责的功能较少(例如大脑的一些非关键白质区域),或者梗塞范围非常小,那么就可能不会引起任何明显的神经功能缺损症状,因此患者本人毫无察觉。

风险与后果
- 首次中风风险极高:对于合并了房颤的二尖瓣狭窄患者,其发生缺血性中风的风险是普通人的17倍以上。
- 反复中风:一旦发生过一次心源性栓塞,未来再次发生的风险非常高。
- 累积性损害:即使是无症状的小梗塞,多次累积也会对大脑功能造成严重影响,显著增加血管性痴呆的风险。
- 症状性中风:下一次梗塞可能就发生在关键脑区,导致严重的、致残性的甚至致命性的中风。
诊断与管理策略
对于诊断为二尖瓣狭窄的患者,预防和处理脑梗是管理的核心环节之一。
诊断
- 心脏评估:
- 听诊:医生用听诊器可以在心尖部听到典型的舒张期隆隆样杂音,这是二尖瓣狭窄的特征性体征。
- 心电图:可以发现房颤、左心房肥大等异常。
- 超声心动图:这是诊断二尖瓣狭窄的金标准,可以准确评估瓣口的狭窄程度、瓣膜形态、心房大小、有无血栓,并测量心功能。
- 脑部评估:
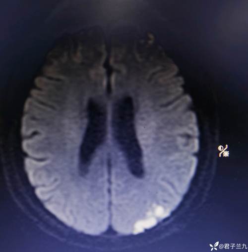
- 头部MRI:特别是DWI序列(弥散加权成像),对发现新鲜的、甚至是陈旧的微小梗塞灶非常敏感,这是确诊“无症状脑梗”的主要方法。
- 头部CT:对于急性大梗塞敏感,但对小梗塞和陈旧梗塞不敏感。
管理与治疗
管理的目标是:预防血栓形成,防止栓塞事件发生。
-
核心治疗:抗凝治疗
- 目的:通过药物抑制血液的凝固能力,防止血栓在心房内形成,或者即使形成也无法增大到足以造成严重堵塞的程度。
- 药物选择:
- 华法林:经典的口服抗凝药,需要定期监测INR值(国际标准化比值),将INR控制在目标范围内(通常为2.0-3.0)。
- 新型口服抗凝药:如达比加群、利伐沙班、阿哌沙班等,它们起效快、副作用相对较少、无需常规监测INR,是目前更推荐的选择(尤其对于非瓣膜性房颤,但二尖瓣狭窄合并房颤时也常使用,需医生评估)。
- 关键点:只要二尖瓣狭窄患者合并了房颤(无论有无症状),或者既往有过栓塞史(无论有无症状),都必须进行长期、终身的抗凝治疗。
-
病因治疗:处理二尖瓣狭窄本身
- 药物治疗:用于控制心衰症状(如利尿剂),但无法解决瓣膜狭窄的根本问题。
- 介入或手术治疗:这是根治瓣膜狭窄、恢复血流正常、从而从根本上降低栓塞风险的方法。
- 经皮二尖瓣球囊扩张术:通过导管将一个球囊送到狭窄的瓣膜处,充气扩张瓣口,创伤小,适合符合条件的患者。
- 外科二尖瓣修复术或置换术:开胸手术,修复或用人工瓣膜替换病变的瓣膜,对于瓣膜严重钙化、合并严重关闭不全等患者是必要的。
-
生活方式管理
- 预防和积极控制感染,特别是预防感染性心内膜炎(在牙科或手术前可能需要使用抗生素预防)。
- 限制钠盐摄入,避免劳累和情绪激动,以减轻心脏负担。
- 戒烟限酒。
二尖瓣狭窄是无症状脑梗的一个重要且危险的“幕后黑手”,其病理生理链条是:狭窄 → 左房淤血、扩大 → 房颤 → 左房血栓 → 栓塞 → 脑梗。
对于确诊二尖瓣狭窄的患者,必须:
- 定期进行心脏检查(尤其是超声心动图),评估瓣膜功能和心律情况。
- 一旦发现房颤或任何形式的栓塞史,必须立即启动并坚持抗凝治疗,这是预防中风最关键的措施。
- 评估瓣膜狭窄的严重程度,及时进行介入或手术治疗,从源头上解决问题。
- 进行脑部MRI检查,评估是否存在无症状的脑梗灶,这有助于更全面地评估患者的风险。
请务必在心内科或心脏外科医生的指导下进行系统管理和治疗,切勿自行用药或忽视病情。
